Search Results
DDx Strength: Moderate
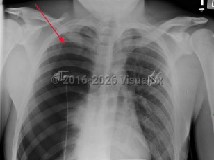
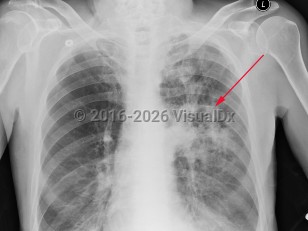
Chest pain, Dyspnea, Cough, Developed steadily , History of Generalized anxiety disorder, History of Depressive disorders, Marijuana use, Fever, Ground glass opacity, Bilateral chest, 13-19 year old Female

Edit Findings
EVALI
COVID-19
Drug-induced pneumonitis
Pneumothorax
Community-acquired pneumonia
Acute chest syndrome
Post-COVID conditions
Acute exacerbation of asthma
Pneumonic plaguePneumonic plague
Viral pneumonia
Acute eosinophilic pneumoniaAcute eosinophilic pneumonia
Avian influenzaAvian influenza
Spontaneous pneumothoraxSpontaneous pneumothorax
Hospital-acquired pneumonia
Gastroesophageal reflux disease
Lung cancerLung cancer
SarcoidosisSarcoidosis
LegionellosisLegionellosis
AspergillosisAspergillosis
Varicella pneumoniaVaricella pneumonia
High-altitude pulmonary edema
Acute respiratory distress syndromeAcute respiratory distress syndrome
Respiratory syncytial virus infectionRespiratory syncytial virus infection
Aspiration pneumonia
Malingering
Pneumocystis jirovecii pneumoniaPneumocystis jirovecii pneumonia
Psittacosis
Cannabis use disorder
Acute coronary syndrome
Radiation pneumonitis
Staphylococcal enterotoxin B exposure
Bronchioloalveolar adenocarcinoma
Lymphomatoid granulomatosisLymphomatoid granulomatosis
ParacoccidioidomycosisParacoccidioidomycosis
Microscopic polyangiitis
Adenovirus infection
Acute bronchitis
Parainfluenza virus infection
Cocaine intoxication and use disorder
MucormycosisMucormycosis
Multisystem inflammatory syndrome in adults
CoccidioidomycosisCoccidioidomycosis
Granulomatosis with polyangiitisGranulomatosis with polyangiitis
Extrinsic allergic alveolitisExtrinsic allergic alveolitis
ActinomycosisActinomycosis
American trypanosomiasisAmerican trypanosomiasis
Pulmonary embolismPulmonary embolism
Pulmonary edema
Pulmonary agent poisoning
Hyperventilation syndrome
Generalized anxiety disorder
GlandersGlanders
TuberculosisTuberculosis
Diffuse large B-cell lymphoma
Ricin poisoning, inhaled
Pulmonary nocardiosisPulmonary nocardiosis
Mast cell activation syndrome
Major depressive disorder
CryptococcosisCryptococcosis
Allergic bronchopulmonary aspergillosis