Search Results
DDx Strength: Weak
Low back pain, Abdominal cramp, 50-59 year old Female

Edit Findings
Generalized anxiety disorder
Axial low back pain
Lumbar radiculopathy
Crohn disease
Major depressive disorder
Cauda equina syndrome
Osteoporotic vertebral compression fracture
Spondylolysis
Chronic fatigue syndrome
Gonococcal cervicitis
Somatic symptom and related disorders
Ankylosing spondylitis
Spondylolisthesis
Spontaneous abortion
Stiff person syndrome
Diverticular disease
Duodenal ulcer
Rectal carcinomaRectal carcinoma
Ulcerative colitis
Lumbar spinal stenosis
Urinary tract infection
Acute intermittent porphyria
Malaria
Metastatic pancreatic carcinomaMetastatic pancreatic carcinoma
Mushroom poisoning
Pyelonephritis
Sacroiliitis
Adamsite poisoning
Hereditary coproporphyriaHereditary coproporphyria
Psoas abscess
Spinal epidural abscess
Tuberculous spondylitis
Haff syndrome
Umbilical hernia in adults
Cystitis
GoutGout
Herpes zosterHerpes zoster
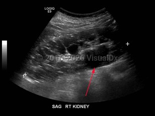
Hydronephrosis
Postherpetic neuralgia
Psoriatic arthritisPsoriatic arthritis
Renal calculus
Transverse myelitis
Traumatic neuromaTraumatic neuroma
Uterine fibroidsUterine fibroids
Uterovaginal prolapse
Polycystic kidney diseasePolycystic kidney disease
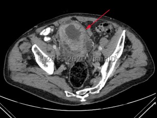
Abdominal aortic aneurysmAbdominal aortic aneurysm
Acute kidney injury
Adult physical abuse
Adult spinal deformity
Aortic dissectionAortic dissection
Biliary calculus
Bladder cancerBladder cancer
EndometriosisEndometriosis
Fecal impaction
Fibromyalgia
Leg length discrepancy
Osteomyelitis
Osteoporosis
Ovarian cancerOvarian cancer