Search Results
DDx Strength: Weak
Low back pain, Chest pain, 50-59 year old Female

Edit Findings
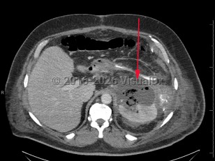
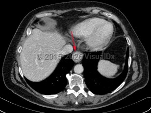
Aortic dissectionAortic dissection
Osteoporotic vertebral compression fracture
Sickle cell acute pain crisis
Herpes zosterHerpes zoster
Penetrating atherosclerotic ulcer
Aortic intramural hematoma
Generalized anxiety disorder
GoutGout
Axial low back pain
Lumbar radiculopathy
Adult physical abuse
Biliary calculus
Major depressive disorder
Osteomyelitis
Cauda equina syndrome
Spondylolysis
Leptospirosis
Paraspinal abscessParaspinal abscess
TuberculosisTuberculosis
Addison diseaseAddison disease
Adrenal crisis
Disseminated herpes zoster
Hodgkin lymphomaHodgkin lymphoma
Lassa fever
Lymphocytic choriomeningitis
Osteochondroma
Perinephric abscessPerinephric abscess
Sickle cell diseaseSickle cell disease
Somatic symptom and related disorders
Spinal cord infarction
Ankylosing spondylitis
Spondylolisthesis
Argentine hemorrhagic fever
Langerhans cell histiocytosisLangerhans cell histiocytosis
Multisystem inflammatory syndrome in adults
Mansonella ozzardi infection
SAPHO syndrome
Preeclampsia
Aneurysmal bone cyst
Paroxysmal supraventricular tachycardia
Coronary artery disease
Synthetic cannabinoid poisoning
Abdominal aortic aneurysmAbdominal aortic aneurysm
EndocarditisEndocarditis
Fecal impaction
Non-Hodgkin lymphomaNon-Hodgkin lymphoma
Upper back injury
Lumbar spinal stenosis
Urinary tract infection
BrucellosisBrucellosis
CoccidioidomycosisCoccidioidomycosis
Malingering
Acute intermittent porphyria
Chondrosarcoma
Diffuse large B-cell lymphoma
Esophageal carcinomaEsophageal carcinoma
IgG4-related disease
Liposarcoma
Mushroom poisoning
Relapsing polychondritisRelapsing polychondritis