Search Results
DDx Strength: Weak
Vomiting, Contaminated food exposure, 50-59 year old Female

Edit Findings
Cholera
Norovirus infection
Bacillus cereus food poisoning
Lassa fever
ListeriosisListeriosis
GnathostomiasisGnathostomiasis
Anaphylaxis
Gastroenteritis
Campylobacter infections
Giardiasis
Staphylococcal food poisoning
Balantidiasis
Hepatitis A virus infection
Salmonellosis
Staphylococcal enterotoxin B exposure
StrongyloidiasisStrongyloidiasis
Vibrio parahaemolyticus infection
Vibrio vulnificus infectionVibrio vulnificus infection
Yersinia enterocolitica infectionYersinia enterocolitica infection
Enteric feverEnteric fever
Shigellosis
Cannabinoid hyperemesis syndrome
Cyclic vomiting syndrome
Q fever
Arsenic poisoningArsenic poisoning
AscariasisAscariasis
EchinococcosisEchinococcosis
Fasciolopsiasis
Nipah virus infection
Organophosphate poisoning
Palytoxin poisoning
Streptococcus suis infection
TularemiaTularemia
BotulismBotulism
Rotavirus infection
Sarcocystis nesbitti infection
Taeniasis
ToxocariasisToxocariasis
Tuberculous enteritis
Crimean-Congo hemorrhagic fever
TrichinellosisTrichinellosis
Disseminated basidiobolomycosis
Hypertrophic pyloric stenosisHypertrophic pyloric stenosis
Hyperemesis gravidarum
Enterohemorrhagic Escherichia coli infection
Enterotoxigenic Escherichia coli infection
Cryptosporidiosis
Drug-induced nausea or vomiting
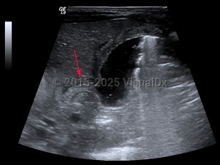
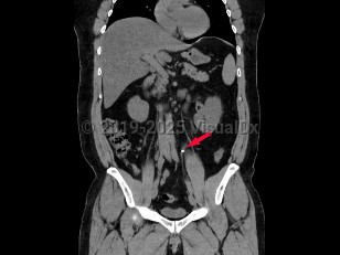
Ureteral calculus
Viral gastroenteritis
Aflatoxicosis
Angiostrongylus cantonensis infection
BrucellosisBrucellosis
Cystoisosporiasis
Diarrheagenic Escherichia coli
Lead poisoningLead poisoning
Microsporidiosis
MucormycosisMucormycosis
Nanophyetiasis
Scombroid fish poisoningScombroid fish poisoning