Pulmonary nocardiosis
Alerts and Notices
Important News & Links
Synopsis
Human infection can arise after cutaneous inoculation or by inhalation. Nocardia brasiliensis is a well-known cause of cutaneous disease and is common in the southern United States, Central and South America, and Australia. Nocardia asteroides is the species most commonly associated with invasive disease.
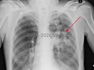
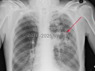
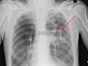
Pulmonary disease can present as pneumonia, a lung abscess, a cavitary lesion, or an empyema that can extend to the chest wall. Pulmonary infections are usually subacute and chronic, manifesting with a variety of radiologic manifestations. An acute fulminant pneumonia may occur. Pulmonary nocardiosis is frequently difficult to diagnose and diagnosis is often delayed. Symptoms include purulent cough, pleuritic chest pain, and fever. Hemoptysis occasionally occurs.
Nocardiosis can also rarely disseminate to the skin, causing nonspecific lesions. Cutaneous inoculation of a superficial skin break results in a self-limited pyogenic skin infection such as impetigo, furuncles, carbuncles, cellulitis, and cutaneous abscesses. A rare lymphocutaneous form of the disease resembles sporotrichosis. Occasionally, cutaneous nocardiosis can result in a chronic, progressive, locally destructive mass lesion called "mycetoma" with formation of sinus tracts. Central nervous system (CNS) involvement is an important complication in the immunocompromised host and can present as a brain abscess. Rarely, bone, joints, heart, kidneys, and the eyes are involved. Bacteremia is very uncommon.
Related topic: cutaneous nocardiosis
Codes
A43.0 – Pulmonary nocardiosis
SNOMEDCT:
2087000 – Pulmonary nocardiosis
Look For
Subscription Required
Diagnostic Pearls
Subscription Required
Differential Diagnosis & Pitfalls
Subscription Required
Best Tests
Subscription Required
Management Pearls
Subscription Required
Therapy
Subscription Required
Drug Reaction Data
Subscription Required
References
Subscription Required
