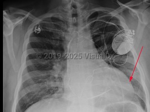
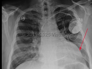
Dilated cardiomyopathy
Alerts and Notices
Important News & Links
Synopsis
DCM may have an ischemic or nonischemic etiology. Nonischemic causes include inherited muscular disease, chemotherapy (eg, anthracyclines), endocrinopathies (eg, thyrotoxicosis, pheochromocytoma), infiltrative diseases (eg, amyloidosis), alcohol use disorder, and viral myocarditis. Genetic causes include mutations in genes encoding cardiac sarcomere and cytoskeletal proteins. Many cases are idiopathic.
Patients usually present with symptoms of heart failure including dyspnea, edema, orthopnea, and weight gain. Physical examination may reveal signs of acute left ventricular failure, such as S3 gallop, systolic murmur consistent with mitral regurgitation, pleural effusions, jugular venous distension, and/or peripheral edema.
Codes
I42.0 – Dilated cardiomyopathy
SNOMEDCT:
399020009 – Congestive cardiomyopathy
Look For
Subscription Required
Diagnostic Pearls
Subscription Required
Differential Diagnosis & Pitfalls
Subscription Required
Best Tests
Subscription Required
Management Pearls
Subscription Required
Therapy
Subscription Required
Drug Reaction Data
Subscription Required
References
Subscription Required
Last Updated:01/13/2022
