Emergency: requires immediate attention
Hypertrophic pyloric stenosis
Alerts and Notices
Important News & Links
Synopsis
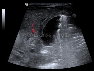
Hypertrophic pyloric stenosis (PS) is a narrowing of the pyloric lumen due to tissue hypertrophy and scarring. The resultant intestinal narrowing leads to gastric outlet obstruction and bowel obstruction. Although hypertrophic PS can very rarely occur in children and adults, this summary is focused on infantile hypertrophic PS. Patients present with emesis, usually within the first several months of life.
PS is predominantly seen in males (approximately 4:1) and presents typically at 2-7 weeks of life with nonbilious, postprandial projectile emesis and dehydration. Children of parents who had PS have a 20% increased risk of developing PS, suggesting a genetic component, although no clear genetic etiology has been identified.
PS is most common in people of Northern European descent, with an incidence range of approximately 2-5:1000 live births in these populations. PS is far less common in people of African and Asian descent. Prematurity, maternal smoking during gestation, and antibiotics within the first weeks of life are all independent risk factors for developing PS.
The complications of PS are due to dehydration and malnutrition. Patients often present with lethargy, failure to thrive, and a hypochloremic, hypokalemic metabolic alkalosis.
Symptoms will continue until a corrective pyloromyotomy is performed.
PS is seen in increased prevalence among patients with Turner syndrome, trisomy 18 syndrome, and tracheo-esophageal fistulas.
PS is predominantly seen in males (approximately 4:1) and presents typically at 2-7 weeks of life with nonbilious, postprandial projectile emesis and dehydration. Children of parents who had PS have a 20% increased risk of developing PS, suggesting a genetic component, although no clear genetic etiology has been identified.
PS is most common in people of Northern European descent, with an incidence range of approximately 2-5:1000 live births in these populations. PS is far less common in people of African and Asian descent. Prematurity, maternal smoking during gestation, and antibiotics within the first weeks of life are all independent risk factors for developing PS.
The complications of PS are due to dehydration and malnutrition. Patients often present with lethargy, failure to thrive, and a hypochloremic, hypokalemic metabolic alkalosis.
Symptoms will continue until a corrective pyloromyotomy is performed.
PS is seen in increased prevalence among patients with Turner syndrome, trisomy 18 syndrome, and tracheo-esophageal fistulas.
Codes
ICD10CM:
K31.1 – Adult hypertrophic pyloric stenosis
SNOMEDCT:
367403001 – Pyloric stenosis
K31.1 – Adult hypertrophic pyloric stenosis
SNOMEDCT:
367403001 – Pyloric stenosis
Look For
Subscription Required
Diagnostic Pearls
Subscription Required
Differential Diagnosis & Pitfalls
To perform a comparison, select diagnoses from the classic differential
Subscription Required
Best Tests
Subscription Required
Management Pearls
Subscription Required
Therapy
Subscription Required
References
Subscription Required
Last Reviewed:05/23/2017
Last Updated:07/07/2022
Last Updated:07/07/2022
Emergency: requires immediate attention
Hypertrophic pyloric stenosis
