Pancreatic pseudocyst
Alerts and Notices
Important News & Links
Synopsis
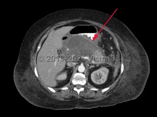
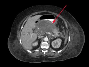
A pancreatic pseudocyst is a localized, mature, fluid-filled collection, sometimes with debris, located outside of the pancreas. It has a nonepithelialized wall of fibrous and granulation tissue, with no necrosis present. Pancreatic pseudocysts typically appear at least 4 weeks after an episode of acute pancreatitis or blunt or penetrating pancreatic trauma. Pancreatic pseudocysts can also form in patients with chronic pancreatitis if there is an acute exacerbation of the underlying pancreatitis. Ten percent of patients with chronic pancreatitis will develop pseudocysts. Pancreatic pseudocysts are more commonly diagnosed in males.
Most cases of pancreatic pseudocyst resolve without intervention, but they may produce a wide range of signs, symptoms, and clinical manifestations. These may include abdominal mass, abdominal pain, fever, chills, and jaundice.
Complications may include duodenal obstruction or biliary obstruction due to pseudocyst expansion, fistula formation into adjacent viscera including the peritoneal, pericardial, and pleural cavities, spontaneous pseudocyst infection, and pseudoaneurysm.
Most cases of pancreatic pseudocyst resolve without intervention, but they may produce a wide range of signs, symptoms, and clinical manifestations. These may include abdominal mass, abdominal pain, fever, chills, and jaundice.
Complications may include duodenal obstruction or biliary obstruction due to pseudocyst expansion, fistula formation into adjacent viscera including the peritoneal, pericardial, and pleural cavities, spontaneous pseudocyst infection, and pseudoaneurysm.
Codes
ICD10CM:
K86.3 – Pseudocyst of pancreas
SNOMEDCT:
111374002 – Pseudocyst of pancreas
K86.3 – Pseudocyst of pancreas
SNOMEDCT:
111374002 – Pseudocyst of pancreas
Look For
Subscription Required
Diagnostic Pearls
Subscription Required
Differential Diagnosis & Pitfalls
To perform a comparison, select diagnoses from the classic differential
Subscription Required
Best Tests
Subscription Required
Management Pearls
Subscription Required
Therapy
Subscription Required
References
Subscription Required
Last Reviewed:12/12/2017
Last Updated:09/29/2024
Last Updated:09/29/2024
Pancreatic pseudocyst
