Contents

SynopsisCodesLook ForDiagnostic PearlsDifferential Diagnosis & PitfallsBest TestsManagement PearlsTherapyDrug Reaction DataReferences

View all Images (2)

Potentially life-threatening emergency
Splenic rupture
Other Resources UpToDate PubMed
Potentially life-threatening emergency

Splenic rupture

Contributors: Amirah Khan MD, Benjamin L. Mazer MD, MBA, Paritosh Prasad MD
Other Resources UpToDate PubMed

Synopsis

Splenic rupture is a life-threatening cause of hemoperitoneum and hemorrhagic shock. Most of the time, it is due to blunt abdominal trauma; however, atraumatic splenic rupture can occur in rare instances often linked to hematologic malignancy, viral infection, inflammatory disease, pregnancy, and certain drugs. Iatrogenic causes during surgery or colonoscopy can also lead to splenic rupture.

Symptoms include left upper quadrant pain, left shoulder pain (Kehr sign), signs of peritonitis, and hemodynamic instability. Splenomegaly, age older than 40, or the presence of a neoplasm increases the risk of mortality from splenic rupture. Splenic rupture occurs in both adult and pediatric populations and should be suspected in patients with abdominal trauma or pre-existing conditions that increase the risk of splenomegaly.

Immediate resuscitation with fluids and blood products should be done. Focused assessment with sonography in trauma (FAST) examination and CT scan can be useful for diagnosis. Management of splenic rupture depends on the degree of injury but ranges from a conservative approach to angiographic embolectomy and emergent splenectomy.

The American Association for the Surgery of Trauma (AAST) has a spleen injury grading system based on imaging and intraoperative findings:
  • Grade I: subcapsular hematoma < 10% of surface area; capsular tear; parenchymal laceration < 1 cm depth.
  • Grade II: subcapsular hematoma 10%-50% of surface area; parenchymal laceration 1-3 cm in depth that does not involve a trabecular vessel.
  • Grade III: subcapsular hematoma > 50% of surface area or expanding ruptured subcapsular or intraparenchymal hematoma; intraparenchymal hematoma > 5 cm in diameter or expanding; parenchymal laceration > 3 cm in depth or involving trabecular vessels.
  • Grade IV: laceration involving segmental or hilar vessels producing major devascularization (> 25% of spleen).
  • Grade V: completely shattered spleen; hilar vascular injury devascularizes spleen.

Codes

ICD10CM:
S36.09XA – Other injury of spleen, initial encounter

SNOMEDCT:
234506007 – Rupture of spleen

Look For

Subscription Required

Diagnostic Pearls

Subscription Required

Differential Diagnosis & Pitfalls

To perform a comparison, select diagnoses from the classic differential

Subscription Required

Best Tests

Subscription Required

Management Pearls

Subscription Required

Therapy

Subscription Required

Drug Reaction Data

Subscription Required

References

Subscription Required

Last Reviewed:01/03/2019
Last Updated:01/14/2019
Copyright © 2026 VisualDx®. All rights reserved.
Potentially life-threatening emergency
Splenic rupture
A medical illustration showing key findings of Splenic rupture : Rebound tenderness, HR increased, BP decreased, RR increased, LUQ pain, Abdominal trauma
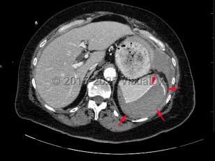
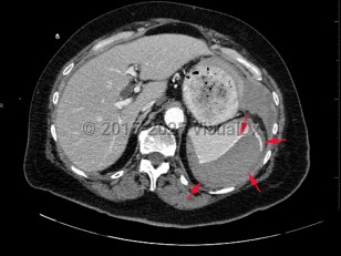
Imaging Studies image of Splenic rupture - imageId=7872924. Click to open in gallery.  caption: '<span>Axial CT image of the abdomen  demonstrates a large subcapsular splenic hematoma, with evidence of  active contrast extravasation and hemoperitoneum. Findings were  consistent with splenic rupture.</span>'
Axial CT image of the abdomen demonstrates a large subcapsular splenic hematoma, with evidence of active contrast extravasation and hemoperitoneum. Findings were consistent with splenic rupture.
Copyright © 2026 VisualDx®. All rights reserved.