Meckel diverticulum
Alerts and Notices
Important News & Links
Synopsis
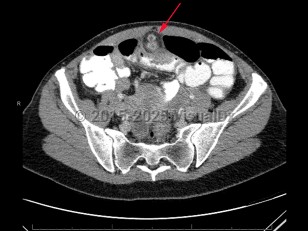
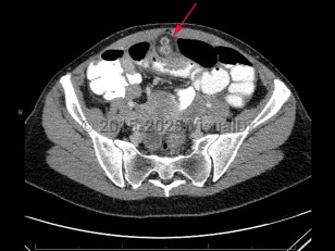
A Meckel diverticulum is a remnant of the omphalomesenteric duct in the distal ileum. Patients with a Meckel diverticulum typically present with painless hematochezia and/or bowel obstruction. Alternatively, a Meckel diverticulum should be considered if an abdominal mass is detected or in cases of abdominal pain, often right lower quadrant, of unclear etiology.
Meckel diverticulum is congenital; there is no known genetic predisposition. Most typically, bleeding from a Meckel diverticulum occurs in children, often younger than 2 years. However, a Meckel diverticulum can be diagnosed at any age, and it can be an incidental finding on abdominal surgery.
A Meckel diverticulum can predispose patients to intussusception, ulcer formation, bowel inflammation, perforation, or foreign body entrapment, all occurring at the diverticulum.
The acuity of diagnosing and managing a Meckel diverticulum relates to the severity of gastrointestinal (GI) bleeding, if present. Hemodynamically compromising bleeding will require more emergent attention with possible surgical resection. A more indolent presentation characterized by abdominal pain of unclear etiology will often be evaluated over the course of weeks to months.
Meckel diverticulum is congenital; there is no known genetic predisposition. Most typically, bleeding from a Meckel diverticulum occurs in children, often younger than 2 years. However, a Meckel diverticulum can be diagnosed at any age, and it can be an incidental finding on abdominal surgery.
A Meckel diverticulum can predispose patients to intussusception, ulcer formation, bowel inflammation, perforation, or foreign body entrapment, all occurring at the diverticulum.
The acuity of diagnosing and managing a Meckel diverticulum relates to the severity of gastrointestinal (GI) bleeding, if present. Hemodynamically compromising bleeding will require more emergent attention with possible surgical resection. A more indolent presentation characterized by abdominal pain of unclear etiology will often be evaluated over the course of weeks to months.
Codes
ICD10CM:
Q43.0 – Meckel's diverticulum (displaced) (hypertrophic)
SNOMEDCT:
37373007 – Meckel's Diverticulum
Q43.0 – Meckel's diverticulum (displaced) (hypertrophic)
SNOMEDCT:
37373007 – Meckel's Diverticulum
Look For
Subscription Required
Diagnostic Pearls
Subscription Required
Differential Diagnosis & Pitfalls
To perform a comparison, select diagnoses from the classic differential
Subscription Required
Best Tests
Subscription Required
Management Pearls
Subscription Required
Therapy
Subscription Required
References
Subscription Required
Last Reviewed:05/23/2017
Last Updated:05/23/2017
Last Updated:05/23/2017
Meckel diverticulum
