- Give fluid resuscitation to patients presenting with hypovolemia or signs of shock, with pressors as needed.
- Obtain urgent surgical consultation and administer early antibiotics for patients presenting with signs of bowel ischemia or sepsis.
- Provide symptomatic therapy with intravenous (IV) pain medication and antiemetics.
- Give the patient nothing by mouth.
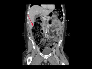
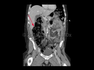
A large bowel obstruction (LBO) occurs when intraluminal contents fail to pass through the large intestine. This results in dilation of the proximal large bowel, with fluid accumulation, gas production, increased intraluminal pressure, and bacterial overgrowth. Bacterial translocation can then lead to bacteremia and sepsis.
Unlike small bowel obstructions (SBOs), LBOs often occur secondary to colorectal malignancies, accounting for 60% of all cases. Stenosis secondary to diverticular disease and volvulus account for another 30%. Other causes include compression from intra-abdominal masses and stenosis secondary to inflammatory bowel disease, radiation, or surgical anastomoses.
LBOs may be partial or complete. A simple LBO is characterized by a single point of obstruction. A closed-loop obstruction is characterized by occlusion of the bowel at 2 points and has the highest risk of ischemia due to occlusion of the blood supply. A classic example of this is sigmoid volvulus. A competent ileocecal valve may also contribute to closed loop obstructions as the large bowel cannot decompress proximally.
Patients present with severe abdominal distension and inability to pass stool or flatus. Abdominal pain due to LBO is typically less severe and more gradual in onset compared to SBO. However, patients with LBO typically have more severe distension compared to SBO, as well as nausea and vomiting.
Patients presenting secondary to colorectal malignancy often have a history of alternating diarrhea and constipation over the preceding weeks to months and may have had bleeding per rectum. A change in stool caliber and/or weight loss may be present and suggest malignancy is the cause of the LBO. Left lower quadrant (LLQ) pain can be suggestive of diverticular disease. Sigmoid volvulus is more common in older patients, those on a high-fiber diet, those with a history of chronic constipation, and long-term care facility residents. Cecal volvulus differs in that it occurs most commonly in patients between the ages of 30 and 60 years and in those with a pelvic mass, prior abdominal surgery, and in the third trimester of pregnancy.
Obstruction leads to increased colonic dilation, eventually leading to necrosis and perforation of the bowel. Patients with bowel ischemia or perforation usually have more severe presentations, often with signs of peritonitis, sepsis, and hemodynamic instability.
