Contents

SynopsisCodesLook ForDiagnostic PearlsDifferential Diagnosis & PitfallsBest TestsManagement PearlsTherapyDrug Reaction DataReferences

View all Images (2)

Emergency: requires immediate attention
Renal infarction
Other Resources UpToDate PubMed
Emergency: requires immediate attention

Renal infarction

Contributors: Abhijeet Waghray MD, Catherine Moore MD, Paritosh Prasad MD
Other Resources UpToDate PubMed

Synopsis

Renal infarction is the necrosis of renal tissue as the result of ischemic injury to the kidney. This occurs most commonly due to thromboemboli, often cardioembolic in nature or due to in situ thrombosis as may occur in the setting of injury to the renal artery or due to a hypercoagulable state.

Atrial fibrillation is the most common cause overall, but infectious endocarditis, renal artery occlusion following aortic or renal interventions, polyarteritis nodosa, trauma, underlying hypercoagulable states, and cocaine use are other etiologies.

Renal infarction is felt to be a rare condition with incidence varying based on study: 1.4% in autopsy studies and 0.007% based on emergency department data. However, it is also an underrecognized condition and often missed.

Symptoms often mimic other renal pathology, including acute onset of flank pain or abdominal pain, hematuria, and occasionally fever or vomiting; thus, diagnosis can be delayed. Physical examination findings include acute hypertension and, rarely, other signs of extrarenal embolization, including focal neurologic deficits.

Codes

ICD10CM:
N28.0 – Ischemia and infarction of kidney

SNOMEDCT:
45456005 – Renal infarction

Look For

Subscription Required

Diagnostic Pearls

Subscription Required

Differential Diagnosis & Pitfalls

To perform a comparison, select diagnoses from the classic differential

Subscription Required

Best Tests

Subscription Required

Management Pearls

Subscription Required

Therapy

Subscription Required

Drug Reaction Data

Subscription Required

References

Subscription Required

Last Reviewed:10/13/2020
Last Updated:03/12/2024
Copyright © 2026 VisualDx®. All rights reserved.
Emergency: requires immediate attention
Renal infarction
A medical illustration showing key findings of Renal infarction : Abdominal pain, Flank pain, Nausea/vomiting, Hematuria, LDH elevated, Leukocytosis
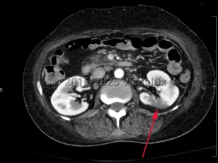
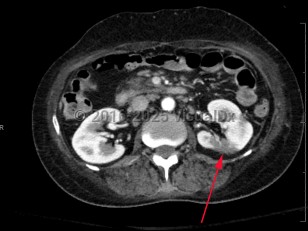
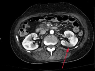
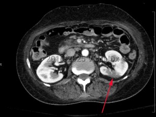
Imaging Studies image of Renal infarction - imageId=8361316. Click to open in gallery.  caption: '<span>Axial image from enhanced CT scan of the abdomen showing a wedge-shaped peripheral region of low attenuation in the posterior aspect of the mid left kidney.</span>'
Axial image from enhanced CT scan of the abdomen showing a wedge-shaped peripheral region of low attenuation in the posterior aspect of the mid left kidney.
Copyright © 2026 VisualDx®. All rights reserved.