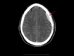
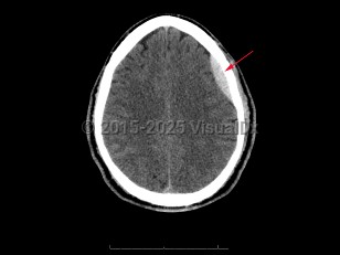
Epidural intracranial hematoma
Alerts and Notices
Important News & Links
Synopsis
The classic presentation involves a brief post-traumatic loss of consciousness, then several minutes to hours of a lucid interval, followed by obtundation and focal neurologic deficits. While this classic clinical description is widely taught, it is seen in < 20% of cases. Other less specific signs and symptoms include headache, nausea and emesis, seizures, neurologic deficits (contralateral weakness, hyperreflexia), papilledema, pupil-involving third-nerve palsy, somnolence, or coma.
Codes
S06.4X0A – Epidural hemorrhage without loss of consciousness, initial encounter
S06.4X0S – Epidural hemorrhage without loss of consciousness, sequela
S06.4X9A – Epidural hemorrhage with loss of consciousness of unspecified duration, initial encounter
SNOMEDCT:
428268007 – Extradural intracranial hematoma
Look For
Subscription Required
Diagnostic Pearls
Subscription Required
Differential Diagnosis & Pitfalls
Subscription Required
Best Tests
Subscription Required
Management Pearls
Subscription Required
Therapy
Subscription Required
Drug Reaction Data
Subscription Required
References
Subscription Required
Last Updated:08/30/2017
