Pneumomediastinum in Infant/Neonate
Alerts and Notices
Important News & Links
Synopsis
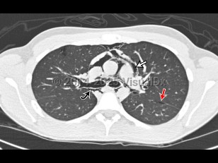
Pneumomediastinum is the presence of air in the mediastinum. It is caused by injury, most often esophageal or intestinal perforation. It can rarely occur spontaneously in children with acute asthma attacks (severe cough) and is also seen as a result of aggressive bag-valve mask ventilation during resuscitation and intubation as well as a result of barotrauma in intubated patients.
Codes
ICD10CM:
J98.2 – Interstitial emphysema
SNOMEDCT:
16838000 – Mediastinal emphysema
J98.2 – Interstitial emphysema
SNOMEDCT:
16838000 – Mediastinal emphysema
Look For
Subscription Required
Best Tests
Subscription Required
Drug Reaction Data
Subscription Required
References
Subscription Required
Last Updated:01/29/2024
Pneumomediastinum in Infant/Neonate
