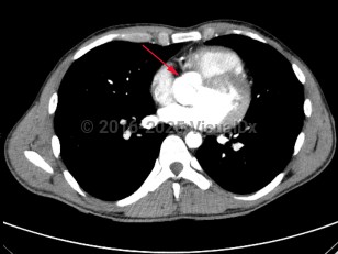
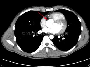
Bicuspid aortic valve
Alerts and Notices
Important News & Links
Synopsis
Congenitally abnormal aortic valve with only two functional valve cusps, usually due to fusion of two of the cusps. This is associated with valvular stenosis and/or insufficiency, as well as abnormalities of the aorta including aneurysms and coarctation. It may occur alone or with other cardiovascular abnormalities such as ventricular septal defect, patent ductus arteriosus, and sinus of Valsalva aneurysm.
Common signs and symptoms include chest pain, decreased exercise tolerance, dyspnea, heart murmur, palpitations, syncope, and aortic regurgitation, or patients may remain asymptomatic for a long time. Infective endocarditis, aortic dilation, and aortic dissection are serious complications. A life-threatening association with symptomatic aortic stenosis puts the patient at risk of sudden death.
Management is complex and involves a range of pharmacotherapies, surgical procedures, valve repairs, and valve replacements.
Common signs and symptoms include chest pain, decreased exercise tolerance, dyspnea, heart murmur, palpitations, syncope, and aortic regurgitation, or patients may remain asymptomatic for a long time. Infective endocarditis, aortic dilation, and aortic dissection are serious complications. A life-threatening association with symptomatic aortic stenosis puts the patient at risk of sudden death.
Management is complex and involves a range of pharmacotherapies, surgical procedures, valve repairs, and valve replacements.
Codes
ICD10CM:
Q23.1 – Congenital insufficiency of aortic valve
SNOMEDCT:
72352009 – Bicuspid aortic valve
Q23.1 – Congenital insufficiency of aortic valve
SNOMEDCT:
72352009 – Bicuspid aortic valve
Differential Diagnosis & Pitfalls
To perform a comparison, select diagnoses from the classic differential
Subscription Required
Best Tests
Subscription Required
Management Pearls
Subscription Required
References
Subscription Required
Last Updated:02/14/2016
Bicuspid aortic valve
