Superior vena cava syndrome
Alerts and Notices
Important News & Links
Synopsis
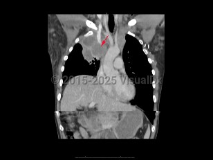
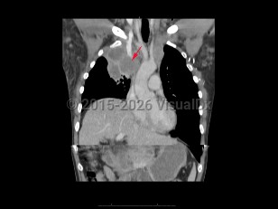
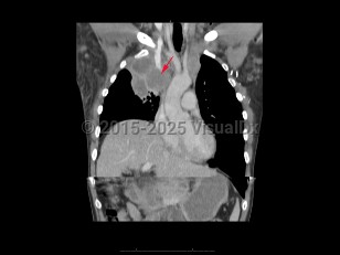
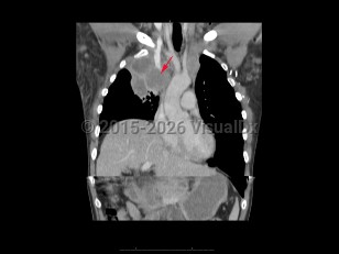
Superior vena cava syndrome (SVCS) results from obstruction of the superior vena cava (SVC), inhibiting venous return from the head, neck, and upper extremities. The most common causes are compression of the SVC due to mediastinal malignancy, followed by thrombosis of the SVC secondary to an indwelling catheter or pacemaker wires. Common symptoms are facial and arm edema, distended neck and chest veins, facial plethora, dyspnea, and cough.
Obstruction of the SVC can cause cervical venous pressures to increase 5-10 times normal. Symptoms usually appear over a period of weeks, and there may be mild improvement as collateral circulation develops. Malignancy is the most common cause, with non-small cell lung cancer and small cell lung cancer making up the majority of cases, followed by lymphoma, metastasis, germ cell cancer, thymoma, and mesothelioma. Thrombosis of the SVC has become more common as the use of indwelling catheters has increased and now contributes to 40% of SVCS cases. Rare causes include benign tumors, aortic aneurysm, thyromegaly, fibrosing mediastinitis from prior irradiation, histoplasmosis, or Behçet's syndrome.
Severity of symptoms depends on the degree of obstruction of the SVC. Facial edema, especially around the eyes; distended neck veins; dyspnea; and cough are common. Signs of cerebral and/or laryngeal edema and cardiorespiratory symptoms are associated with more severe disease and require urgent evaluation. This includes stridor, syncope, headache, vision changes, dizziness, confusion, and obtundation. Esophageal varices are a rare complication, and severity depends on whether the obstruction is proximal or distal to the azygous vein.
Patient profiles vary depending on the underlying etiology of the obstruction. Lung cancer is common in men and women older than 50 years who have a history of smoking. Lymphoma more commonly affects people younger than 65 years with associated adenopathy. Germ cell cancer should be suspected in men younger than 40 years. Mesothelioma is associated with previous asbestos exposure. Thrombosis should be immediately considered in someone with an indwelling catheter.
SVCS in children is very rare and is almost always caused by an underlying malignant process.
Obstruction of the SVC can cause cervical venous pressures to increase 5-10 times normal. Symptoms usually appear over a period of weeks, and there may be mild improvement as collateral circulation develops. Malignancy is the most common cause, with non-small cell lung cancer and small cell lung cancer making up the majority of cases, followed by lymphoma, metastasis, germ cell cancer, thymoma, and mesothelioma. Thrombosis of the SVC has become more common as the use of indwelling catheters has increased and now contributes to 40% of SVCS cases. Rare causes include benign tumors, aortic aneurysm, thyromegaly, fibrosing mediastinitis from prior irradiation, histoplasmosis, or Behçet's syndrome.
Severity of symptoms depends on the degree of obstruction of the SVC. Facial edema, especially around the eyes; distended neck veins; dyspnea; and cough are common. Signs of cerebral and/or laryngeal edema and cardiorespiratory symptoms are associated with more severe disease and require urgent evaluation. This includes stridor, syncope, headache, vision changes, dizziness, confusion, and obtundation. Esophageal varices are a rare complication, and severity depends on whether the obstruction is proximal or distal to the azygous vein.
Patient profiles vary depending on the underlying etiology of the obstruction. Lung cancer is common in men and women older than 50 years who have a history of smoking. Lymphoma more commonly affects people younger than 65 years with associated adenopathy. Germ cell cancer should be suspected in men younger than 40 years. Mesothelioma is associated with previous asbestos exposure. Thrombosis should be immediately considered in someone with an indwelling catheter.
SVCS in children is very rare and is almost always caused by an underlying malignant process.
Codes
ICD10CM:
I87.1 – Compression of vein
SNOMEDCT:
63363004 – Superior vena cava syndrome
I87.1 – Compression of vein
SNOMEDCT:
63363004 – Superior vena cava syndrome
Look For
Subscription Required
Diagnostic Pearls
Subscription Required
Differential Diagnosis & Pitfalls
To perform a comparison, select diagnoses from the classic differential
Subscription Required
Best Tests
Subscription Required
Management Pearls
Subscription Required
Therapy
Subscription Required
References
Subscription Required
Last Updated:05/11/2021
Superior vena cava syndrome
