Contents

SynopsisCodesLook ForDiagnostic PearlsDifferential Diagnosis & PitfallsBest TestsManagement PearlsTherapyDrug Reaction DataReferences

Information for Patients

View all Images (9)

Renal calculus
Other Resources UpToDate PubMed

Renal calculus

Contributors: Joshua Caldwell MD, Paritosh Prasad MD
Other Resources UpToDate PubMed

Synopsis

Nephrolithiasis, or kidney stones, is a common problem accounting for nearly 1% of hospital admissions in the United States and $2 billion in annual health care spending. The lifetime risk for a stone event approaches 11% for men and 7% for women. Although men remain at increased risk as compared to women (1.5-2 times as common in men), the epidemiology of stone formation is changing in the United States, with the prevalence in women increasing at a more rapid rate than in men. When considering the population as a whole, the annual incidence of stone disease has nearly doubled from 54.2 per 100 000 in 1965 to 114.3 per 100 000 in 2005. Stone recurrence rates vary, but roughly 10% of patients are estimated to have additional symptomatic stones in 2 years, 20% in 5 years, 31% in 10 years, and 39% in 15 years. Patients with a family history of nephrolithiasis and with uric acid stones appear to be at an increased risk for subsequent symptomatic events.

As many as 80% of the stone disease in the United States are calcium oxalate or calcium phosphate stones. Calcium stones form when the concentration of these solutes (calcium, oxalate, or phosphate) exceed the solubility threshold of the urine in which they are dissolved. The solubility of these solutes is influenced by urine pH, the presence of other free ions, urinary organic solutes, and the presence of other crystals which provide nucleation sites for new crystal formation. When the urine is supersaturated and other factors are favorable, crystals form and precipitate, forming either stones inside of the renal pelvis or in submucosal plaques eponymously known as Randall plaques.

The primary risk factors for the development of renal calculi include male sex, increasing age (with a peak age of onset 20-40 years), obesity, European descent, high intake of animal protein, sodium, and fructose, a family history of stones, and living in the Southeast United States. Other, less common, risk factors include rare genetic conditions, gastric bypass surgery, and vitamin B6 (pyridoxine) deficiency.

Although asymptomatic stones are frequently discovered with radiographic imaging, the most common presentation is sudden-onset flank pain radiating to the groin, accompanied by nausea and vomiting. This colicky pain (renal colic) typically waxes over the course of 15-30 minutes and becomes steady, unrelenting, and unbearable. Patients may experience worsening paroxysms of pain lasting 20-60 minutes as the stone courses downward through the ureter and as the ureter spasms. If the stone's descent is arrested at the ureterovesical junction, patients may experience urinary frequency, dysuria, and urgency and are predisposed to the development of urinary tract infections both from the stone forming as a nidus for bacterial growth and from the mechanical urothelial trauma caused by the stone's movement. Most individuals with nephrolithiasis will also develop hematuria, particularly when passing a stone.

Pain from nephrolithiasis is thought to primarily be the result of renal capsular distention and varies depending on the location of the stone and the degree of obstruction caused by the stone. Stones that occlude the upper ureter or ureteropelvic junction invariably cause significant flank pain that is accompanied by severe costovertebral angle tenderness to palpation. As the innervation of the testicle is shared with the kidney, patients often describe radiation to the testicles or labia. When stones pass into the bladder, patients usually experience swift resolution of their pain.

Codes

ICD10CM:
N20.0 – Calculus of kidney

SNOMEDCT:
95570007 – Kidney stone

Look For

Subscription Required

Diagnostic Pearls

Subscription Required

Differential Diagnosis & Pitfalls

To perform a comparison, select diagnoses from the classic differential

Subscription Required

Best Tests

Subscription Required

Management Pearls

Subscription Required

Therapy

Subscription Required

Drug Reaction Data

Subscription Required

References

Subscription Required

Last Reviewed:07/29/2018
Last Updated:02/13/2022
Copyright © 2026 VisualDx®. All rights reserved.
Patient Information for Renal calculus
Print E-Mail Images (9)
Contributors: Medical staff writer
Premium Feature
VisualDx Patient Handouts
Available in the Elite package
  • Improve treatment compliance
  • Reduce after-hours questions
  • Increase patient engagement and satisfaction
  • Written in clear, easy-to-understand language. No confusing jargon.
  • Available in English and Spanish
  • Print out or email directly to your patient
Copyright © 2026 VisualDx®. All rights reserved.
Renal calculus
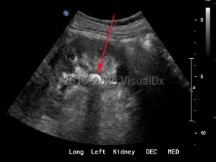
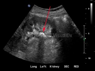
Imaging Studies image of Renal calculus - imageId=8341825. Click to open in gallery.  caption: '<span>Grayscale ultrasound of the left kidney demonstrates an echogenic focus in the lower pole with shadowing artifact.</span>'
Grayscale ultrasound of the left kidney demonstrates an echogenic focus in the lower pole with shadowing artifact.
Copyright © 2026 VisualDx®. All rights reserved.