Plasma cell vulvitis - Anogenital in
Alerts and Notices
Important News & Links
Synopsis
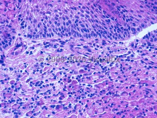
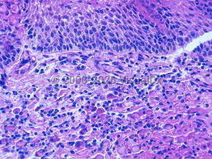
Plasma cell vulvitis, or Zoon disease, refers to an extremely rare skin condition where, secondary to inflammation, the vulva becomes irritated, leading to patient complaints of itching and discomfort.
The etiology is unknown but is thought to be related to viral elements, trauma, and/or chronic irritation. The condition tends to be diagnosed in postmenopausal patients.
Patients can present with long-standing complaints of mild itching, pain, burning, and/or bleeding of the vulva. Symptoms may coincide with intercourse. Often, patients report just that a specific area of the vulva is uncomfortable or annoying. Many patients will be asymptomatic and unaware of any issues.
The etiology is unknown but is thought to be related to viral elements, trauma, and/or chronic irritation. The condition tends to be diagnosed in postmenopausal patients.
Patients can present with long-standing complaints of mild itching, pain, burning, and/or bleeding of the vulva. Symptoms may coincide with intercourse. Often, patients report just that a specific area of the vulva is uncomfortable or annoying. Many patients will be asymptomatic and unaware of any issues.
Codes
ICD10CM:
N76.3 – Subacute and chronic vulvitis
SNOMEDCT:
238921004 – Plasma cell vulvitis
N76.3 – Subacute and chronic vulvitis
SNOMEDCT:
238921004 – Plasma cell vulvitis
Look For
Subscription Required
Diagnostic Pearls
Subscription Required
Differential Diagnosis & Pitfalls
To perform a comparison, select diagnoses from the classic differential
Subscription Required
Best Tests
Subscription Required
Management Pearls
Subscription Required
Therapy
Subscription Required
References
Subscription Required
Last Reviewed:07/09/2020
Last Updated:07/09/2020
Last Updated:07/09/2020
