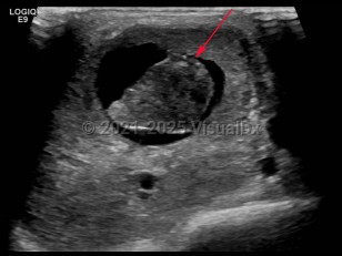
Parotid gland carcinoma most commonly presents as an asymptomatic preauricular mass that may be slowly enlarging and indolent or, more rarely, rapidly growing. Malignancy should be considered in cases of rapid growth, pain, facial tic / weakness, trismus, local soft tissue / bony invasion, fistula development, or enlarged cervical lymph nodes.
Parotid gland cancers are a heterogeneous group of cancers that can be difficult to diagnose due to their rarity and diversity. Tumors are classified by histological family and some are graded as high, intermediate, or low grade. Prognosis for parotid tumors varies with histological subtype, clinical stage, grade, and patient age.
Subtypes:
- Mucoepidermoid carcinoma (MEC): The most common parotid gland carcinoma, occurring in all ages and more commonly in women. Histologically composed of mucus-secreting, intermediate, and squamous epidermoid cells, of which relative distribution determines low- versus high-grade MEC. High-grade MEC has been shown to be associated with male sex, older age, and a poorer prognosis. MEC is the most common pediatric salivary gland carcinoma. It has a recurrent translocation, CRTC1-MAMML2.
- Adenoid cystic carcinoma (ACCa): Second most common parotid gland carcinoma, usually occurring between the fourth and sixth decades, with greater incidence in females. Histologically consists of predominantly myoepithelial / basal cells and lesser proportion of epithelial / luminal cells with cribriform cystic architecture. ACCa is often indolent but progressive, and often has extensive perineural invasion as well as invasion into bony structures. It can be fatal, often with late-onset distant metastases to lung or bone. Pain and facial nerve involvement are more common than in other parotid gland carcinoma.
- Acinic cell carcinoma (AnCC): Low-grade malignancy, more likely to occur in a younger population than other parotid carcinoma. Histologically recapitulates serous acinar cells. This carcinoma generally has a good prognosis.
- Other subtypes: Mammary analog secretory carcinoma, salivary duct carcinoma, carcinoma ex pleomorphic adenoma, epithelial myoepithelial carcinoma, adenocarcinoma not otherwise specified.
