Contents

SynopsisCodesLook ForDiagnostic PearlsDifferential Diagnosis & PitfallsBest TestsManagement PearlsTherapyReferences

View all Images (3)

Pyogenic liver abscess
Other Resources UpToDate PubMed

Pyogenic liver abscess

Contributors: Neil Mendoza MD, Paritosh Prasad MD
Other Resources UpToDate PubMed

Synopsis

A pyogenic liver abscess is a collection of pus in the liver as the result of bacterial (or rarely fungal) infection.

The two most common routes that pathogens use to invade the liver and cause an abscess are through the biliary tree (if the biliary tree is obstructed, then cholangitis may follow, which can be complicated by hepatic abscess formation) and through the portal venous system (the portal venous system provides drainage of intraabdominal organs, and pathogens causing diverticulitis or appendicitis, for example, will drain through the portal venous system and may form hepatic abscesses). Liver abscesses may also form due to hematogenous seeding of the liver in the setting of bacteremia. Other intraabdominal abscesses may enlarge and involve the liver by contiguous spread. Rarely, pathogens may seed the liver in the setting of anatomic abnormalities (eg, in the setting of a liver hematoma) or due to direct inoculation in the setting of trauma. In 20%-40% of cases, no obvious cause for the liver abscess is identified.

Many organisms can cause a pyogenic liver abscess, and many abscesses are polymicrobial. Common pathogens include Escherichia coli and Klebsiella species (including the hypermucoid strains of Klebsiella pneumoniae that are a major cause of liver abscess in Asia). Anaerobic organisms are frequently involved, and gram-positive organisms including Streptococcus species and Staphylococcus aureus can also cause abscesses. Candida species may also be involved. Clostridium perfringens liver abscesses can cause hemolysis.

The symptoms of pyogenic liver abscess are nonspecific. The two most common symptoms are fever and abdominal pain. In one review, patients had symptoms for a median of 14 days (range 1-90 days) prior to hospital admission. Some patients will have associated nausea, night sweats, and weight loss. A minority of patients have jaundice. Laboratory evaluation will usually reveal abnormal liver enzymes and an elevated white blood cell count.

Patients with underlying malignancy, cirrhosis, diabetes mellitus, or abnormalities of the pancreas, liver (including liver transplant), or biliary tree are at increased risk of this infection.

Related topic: Amebic Liver Abscess

Codes

ICD10CM:
K75.0 – Abscess of liver

SNOMEDCT:
27916005 – Abscess of liver

Look For

Subscription Required

Diagnostic Pearls

Subscription Required

Differential Diagnosis & Pitfalls

To perform a comparison, select diagnoses from the classic differential

Subscription Required

Best Tests

Subscription Required

Management Pearls

Subscription Required

Therapy

Subscription Required

References

Subscription Required

Last Updated:12/11/2018
Copyright © 2026 VisualDx®. All rights reserved.
Pyogenic liver abscess
A medical illustration showing key findings of Pyogenic liver abscess : Fatigue, Fever, Nausea/vomiting, Anorexia, RUQ pain
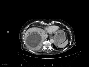
Imaging Studies image of Pyogenic liver abscess - imageId=6828400. Click to open in gallery.  caption: '<span>Axial CT image demonstrates a  large thick-walled fluid collection at the hepatic dome with mildly  enhancing peripheral rim, consistent with liver abscess.</span>'
Axial CT image demonstrates a large thick-walled fluid collection at the hepatic dome with mildly enhancing peripheral rim, consistent with liver abscess.
Copyright © 2026 VisualDx®. All rights reserved.