Contents

SynopsisCodesLook ForDiagnostic PearlsDifferential Diagnosis & PitfallsBest TestsManagement PearlsTherapyDrug Reaction DataReferences

View all Images (11)

Pyelonephritis
Other Resources UpToDate PubMed

Pyelonephritis

Contributors: Neil Mendoza MD, Paritosh Prasad MD
Other Resources UpToDate PubMed

Synopsis

Pyelonephritis is an infection of the kidney. Most cases of pyelonephritis are caused by ascent of bacterial pathogens (usually gram-negative bacilli but occasionally gram-positive organisms such as Enterococcus species) from the bladder to the kidney.

Patients with abnormalities of the urinary tract (including children with vesicoureteral reflux) are at increased risk for this infection. Pregnancy and renal transplant also increase the risk of pyelonephritis.

Patients with bloodstream infection with certain pathogens including Staphylococcus aureus or Candida species are at risk for hematogenous seeding of the kidneys.

Patients present with a triad of flank pain, fever, and nausea / vomiting. There are often associated symptoms including dysuria, urinary urgency, or urinary frequency. The patient can also have concurrent noninfectious complicating conditions like renal calculi and renal infarction. Gross hematuria may occasionally be seen. Patients with spinal cord injury or dementia may present atypically, but fever is expected to be present in cases of pyelonephritis. Examination may reveal costovertebral angle tenderness.

Complications of pyelonephritis include progression to sepsis and septic shock and, in rare cases, papillary necrosis, renal abscess, and perinephric abscess.

Related topic: urinary tract infection

Codes

ICD10CM:
N12 – Tubulo-interstitial nephritis, not specified as acute or chronic

SNOMEDCT:
45816000 – Pyelonephritis

Look For

Subscription Required

Diagnostic Pearls

Subscription Required

Differential Diagnosis & Pitfalls

To perform a comparison, select diagnoses from the classic differential

Subscription Required

Best Tests

Subscription Required

Management Pearls

Subscription Required

Therapy

Subscription Required

Drug Reaction Data

Subscription Required

References

Subscription Required

Last Reviewed:05/22/2024
Last Updated:09/25/2024
Copyright © 2025 VisualDx®. All rights reserved.
Pyelonephritis
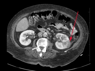
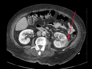
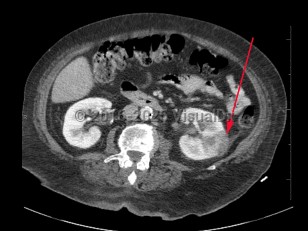
Imaging Studies image of Pyelonephritis - imageId=8360960. Click to open in gallery.  caption: '<span>Axial image from contrast enhanced CT scan demonstrating a peripheral, wedge-shaped, low attenuation region in the left kidney, consistent with pyelonephritis with possible abscess.</span>'
Axial image from contrast enhanced CT scan demonstrating a peripheral, wedge-shaped, low attenuation region in the left kidney, consistent with pyelonephritis with possible abscess.
Copyright © 2025 VisualDx®. All rights reserved.