Progressive osseous heteroplasia in Child
Alerts and Notices
Important News & Links
Synopsis
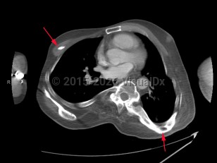
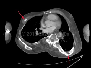
A rare autosomal dominant disorder. Initial manifestation is primary osteoma cutis, a condition of true bone formation within the skin, usually beginning in infancy. Lesions are tender and may ulcerate. Progresses to involve bone formation in deep connective tissue and skeletal muscle. May result in restricted movement and abnormal growth.
Codes
ICD10CM:
M61.50 – Other ossification of muscle, unspecified site
SNOMEDCT:
404074003 – Osteoma cutis
M61.50 – Other ossification of muscle, unspecified site
SNOMEDCT:
404074003 – Osteoma cutis
Differential Diagnosis & Pitfalls
To perform a comparison, select diagnoses from the classic differential
Subscription Required
Best Tests
Subscription Required
References
Subscription Required
Last Updated:01/20/2022
Progressive osseous heteroplasia in Child
