Chlamydophila pneumoniae pneumonia
Alerts and Notices
Important News & Links
Synopsis
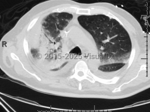
Chlamydophilia pneumoniae (also known as Chlamydia pneumoniae) is an obligate intracellular bacterium that causes pneumonia.
Transmission of this infection is thought to occur through respiratory droplets, and institutional outbreaks have been reported. Serologic studies have revealed that many adolescents and most adults are seropositive.
Many patients infected with this pathogen are likely asymptomatic or minimally symptomatic. In symptomatic patients who present for evaluation, fever, cough, and dyspnea are seen. Cough is often nonproductive and may persist for weeks despite therapy.
Clinically, it is not possible to distinguish pneumonia due to C. pneumoniae from pneumonia due to other respiratory pathogens. Also, it is possible to be infected by more than one pathogen at the same time (eg, with Streptococcus pneumoniae and C. pneumoniae). In these cases, it is difficult to determine if C. pneumoniae is responsible for the patient's symptoms or if the other pathogen is more important.
Associations between C. pneumoniae infection and asthma, atherosclerosis, and other chronic conditions have been reported, but the data are not conclusive.
Related topic: community-acquired pneumonia
Transmission of this infection is thought to occur through respiratory droplets, and institutional outbreaks have been reported. Serologic studies have revealed that many adolescents and most adults are seropositive.
Many patients infected with this pathogen are likely asymptomatic or minimally symptomatic. In symptomatic patients who present for evaluation, fever, cough, and dyspnea are seen. Cough is often nonproductive and may persist for weeks despite therapy.
Clinically, it is not possible to distinguish pneumonia due to C. pneumoniae from pneumonia due to other respiratory pathogens. Also, it is possible to be infected by more than one pathogen at the same time (eg, with Streptococcus pneumoniae and C. pneumoniae). In these cases, it is difficult to determine if C. pneumoniae is responsible for the patient's symptoms or if the other pathogen is more important.
Associations between C. pneumoniae infection and asthma, atherosclerosis, and other chronic conditions have been reported, but the data are not conclusive.
Related topic: community-acquired pneumonia
Codes
ICD10CM:
J16.0 – Chlamydial pneumonia
SNOMEDCT:
233609002 – Chlamydial pneumonia
J16.0 – Chlamydial pneumonia
SNOMEDCT:
233609002 – Chlamydial pneumonia
Look For
Subscription Required
Diagnostic Pearls
Subscription Required
Differential Diagnosis & Pitfalls
To perform a comparison, select diagnoses from the classic differential
Subscription Required
Best Tests
Subscription Required
Management Pearls
Subscription Required
Therapy
Subscription Required
References
Subscription Required
Last Updated:12/01/2020
Chlamydophila pneumoniae pneumonia
