Contents

SynopsisCodesLook ForDiagnostic PearlsDifferential Diagnosis & PitfallsBest TestsManagement PearlsTherapyReferences

View all Images (10)

Emergency: requires immediate attention
Varicella pneumonia in Adult
Other Resources UpToDate PubMed
Emergency: requires immediate attention

Varicella pneumonia in Adult

Contributors: Neil Mendoza MD, Paritosh Prasad MD
Other Resources UpToDate PubMed

Synopsis

The varicella-zoster virus (VZV) is a one of the human herpesviruses and is the etiologic agent of chickenpox and shingles (herpes zoster). Varicella pneumonia is a life-threatening complication of initial infection with VZV or reactivation of VZV.

Spread of VZV to the lungs is thought to occur hematogenously.

Varicella pneumonia is estimated to occur in fewer than 1% of cases of chickenpox. Varicella pneumonia is seen in children, but it is much more common in adults. Immunocompromised patients, including transplant recipients and pregnant individuals, are at increased risk. Of note, studies of healthy adults with VZV infection have shown that abnormal chest x-rays are not uncommon, and many patients may not have respiratory symptoms (clinically asymptomatic pneumonitis is possible, but an abnormal chest x-ray should not be disregarded in an immunocompromised patient).

Patients typically develop the rash characteristic of chickenpox or shingles. Within one week, they present with respiratory symptoms. Symptoms may include cough, shortness of breath, tachypnea, or hemoptysis. Occasionally, respiratory symptoms may precede development of the rash (and very rarely, patients may not have any rash).

Chest radiograph changes that can be seen include interstitial changes and nodular infiltrates.

In immunocompromised patients who present with shingles, skin lesions in multiple dermatomes should alert the physician to the possibility of disseminated infection (including possibly pneumonia). One report of renal transplant recipients noted that gastrointestinal and neurologic symptoms may be present on admission. Rash was absent in 2 patients. Other visceral involvement included hepatitis, pancreatitis, and neurological involvement. Many patients developed disseminated intravascular coagulation. Mortality was high.

The time it takes to recover from varicella pneumonia varies. Immunocompromised patients may be hospitalized for many days or weeks.

Related topic: community-acquired pneumonia

Codes

ICD10CM:
B01.2 – Varicella pneumonia

SNOMEDCT:
195911009 – Chickenpox pneumonia

Look For

Subscription Required

Diagnostic Pearls

Subscription Required

Differential Diagnosis & Pitfalls

To perform a comparison, select diagnoses from the classic differential

Subscription Required

Best Tests

Subscription Required

Management Pearls

Subscription Required

Therapy

Subscription Required

References

Subscription Required

Last Updated:08/04/2021
Copyright © 2025 VisualDx®. All rights reserved.
Emergency: requires immediate attention
Varicella pneumonia in Adult
A medical illustration showing key findings of Varicella pneumonia : Fever, Vesicle, Widespread distribution, Dyspnea, Dry cough, RR increased
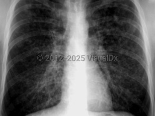
Imaging Studies image of Varicella pneumonia - imageId=1909872. Click to open in gallery.  caption: '<span>PA radiograph of a patient with varicella pneumonia showing widespread poorly defined nodules</span>.'
PA radiograph of a patient with varicella pneumonia showing widespread poorly defined nodules.
Copyright © 2025 VisualDx®. All rights reserved.