Other organisms that are responsible for hospital-acquired pneumonias are Staphylococcus aureus, which accounts for approximately 38% of cases, and Acinetobacter baumannii, which accounts for approximately 25% of cases.
Pseudomonas pneumonia can be either primary or bacteremic.
- Primary pneumonia is typically seen in patients who are on a mechanical ventilator with pre-existing lung disease, chronic heart failure, or AIDS, and it is usually the result of aspiration of respiratory tract secretions.
- Bacteremic pneumonia occurs with bloodstream invasion following the onset of respiratory symptoms. This leads to a metastatic spread that results in the embolic lesions seen in the lungs and other viscera. This is followed by alveolar hemorrhage and necrosis, with the patient typically expiring 3-4 days after initial onset.
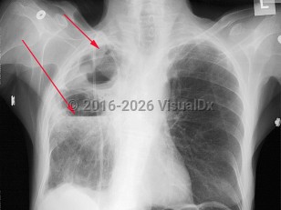
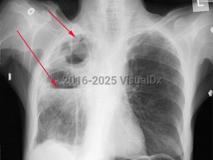
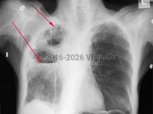
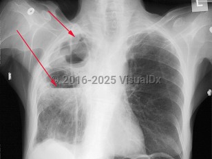
The onset of pneumonia is usually sudden, although in some cases it may be preceded by an upper respiratory tract infection. The patient presents with signs of severe systemic toxicity, and symptoms include fever, chills, dyspnea, cyanosis, confusion, and productive cough with green or yellow sputum.
Pseudomonas aeruginosa rarely causes disease in the healthy individual. Factors that predispose to a patient developing Pseudomonas pneumonia fall within 3 categories: patients who are immunosuppressed, those on prior antibiotic therapy, and those who have a disruption of their normal mucosal barrier.
- Immunosuppressed patients may be those with neutropenia, hypogammaglobulinemia, diabetes mellitus, cystic fibrosis, cancer, or HIV infection or those on steroid therapy.
- Prior antibiotic therapy predisposes to acquiring nosocomial pneumonia.
- Burn injuries, dermatitis, intubation, or placement of central venous or urinary catheters all disrupt the cutaneous or mucosal barrier and predispose to development of pneumonia.
