Contents

SynopsisCodesLook ForDifferential Diagnosis & PitfallsBest TestsDrug Reaction DataReferences

View all Images (6)

Potentially life-threatening emergency
Acute interstitial pneumonia
Other Resources UpToDate PubMed
Potentially life-threatening emergency

Acute interstitial pneumonia

Contributors: Christine Osborne MD, Ryan R. Walsh MD, Joshua J. Jarvis MD, Alastair Moore MD
Other Resources UpToDate PubMed

Synopsis

Also known as Hamman-Rich syndrome. A rare form of idiopathic interstitial pneumonia characterized by acute onset and rapidly progressive course. Usually affects previously healthy individuals over the age of 40. Onset of symptoms is rapid, typically following a prodromal illness that lasts 1-2 weeks prior to presentation. At the time of presentation, patients have fever, cough, and progressive, severe shortness of breath, often leading to hypoxemia and mechanical ventilation. Physical exam features include fever, hypoxia, tachypnea, and diffuse crackles.

Progresses through three phases:
  1. An acute exudative phase characterized by temporally uniform lesions,
  2. An organized proliferative phase characterized by fibroblast proliferation and connective tissue formation, and finally
  3. A fibrotic phase characterized by collagen production, widening of alveolar septae, and organization of the alveolar exudate.
Prognosis is poor, with 50% of patients dying at the initial presentation and a majority of the surviving patients dying within 6 months of presentation. Those who do survive have variable residual lung function.

Codes

ICD10CM:
J84.114 – Acute interstitial pneumonia

SNOMEDCT:
236302005 – Acute interstitial pneumonia

Look For

Subscription Required

Differential Diagnosis & Pitfalls

To perform a comparison, select diagnoses from the classic differential

Subscription Required

Best Tests

Subscription Required

Drug Reaction Data

Subscription Required

References

Subscription Required

Last Updated:07/05/2015
Copyright © 2026 VisualDx®. All rights reserved.
Potentially life-threatening emergency
Acute interstitial pneumonia
A medical illustration showing key findings of Acute interstitial pneumonia : Chills, Cough, Fever, Hypoxemia, Dyspnea, Crackles
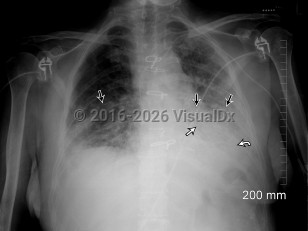
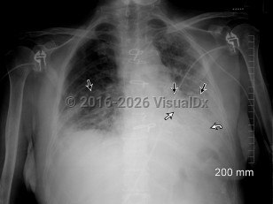
Imaging Studies image of Acute interstitial pneumonia - imageId=8345960. Click to open in gallery.  caption: '<span>Single portable semi-upright  AP view of the chest. There are bilateral airspace opacities with a  predominantly lower lobe distribution, left greater than right (straight  black arrows). An air bronchogram is also evident within the left lung  (straight white arrow). There is a craniocaudal gradation of density  which suggests pleural effusions, although this is difficult to  appreciate on a semi-recumbent exam (curved white arrow). Follow-up CT  confirmed bilateral pleural effusions, left greater than right.</span>'
Single portable semi-upright AP view of the chest. There are bilateral airspace opacities with a predominantly lower lobe distribution, left greater than right (straight black arrows). An air bronchogram is also evident within the left lung (straight white arrow). There is a craniocaudal gradation of density which suggests pleural effusions, although this is difficult to appreciate on a semi-recumbent exam (curved white arrow). Follow-up CT confirmed bilateral pleural effusions, left greater than right.
Copyright © 2026 VisualDx®. All rights reserved.