Contents

SynopsisCodesLook ForDiagnostic PearlsDifferential Diagnosis & PitfallsBest TestsManagement PearlsTherapyDrug Reaction DataReferences

View all Images (6)

Emergency: requires immediate attention
Cryptogenic organizing pneumonia
Other Resources UpToDate PubMed
Emergency: requires immediate attention

Cryptogenic organizing pneumonia

Contributors: Christine Osborne MD, Ryan R. Walsh MD, Joshua J. Jarvis MD, Alastair Moore MD, Mary Anne Morgan MD, Paritosh Prasad MD
Other Resources UpToDate PubMed

Synopsis

Formerly known as the idiopathic form of bronchiolitis obliterans organizing pneumonia (BOOP), cryptogenic organizing pneumonia (COP) is a diffuse interstitial lung disease affecting distal and respiratory bronchioles and alveolar ducts and walls. It usually presents in patients aged 50-60 years, with men and women equally affected, and is frequently heralded by a flu-like illness.

Patients typically present with relatively short duration of symptoms (weeks to months) including a persistent nonproductive cough, dyspnea, fever, malaise, weight loss, and occasionally other influenza-like symptoms (nasal congestion, headache, chills and sweats, sore throat, myalgia). Hemoptysis is uncommon. Physical examination reveals inspiratory crackles in a majority of patients, and radiographic findings include peripheral, patchy bilateral opacities.

History of stigmata of extrapulmonary connective tissue disease and/or medication exposure should be sought to differentiate COP from other idiopathic interstitial pneumonitides.

Codes

ICD10CM:
J84.116 – Cryptogenic organizing pneumonia

SNOMEDCT:
719218000 – Cryptogenic organizing pneumonia

Look For

Subscription Required

Diagnostic Pearls

Subscription Required

Differential Diagnosis & Pitfalls

To perform a comparison, select diagnoses from the classic differential

Subscription Required

Best Tests

Subscription Required

Management Pearls

Subscription Required

Therapy

Subscription Required

Drug Reaction Data

Subscription Required

References

Subscription Required

Last Reviewed:05/17/2022
Last Updated:06/19/2022
Copyright © 2026 VisualDx®. All rights reserved.
Emergency: requires immediate attention
Cryptogenic organizing pneumonia
A medical illustration showing key findings of Cryptogenic organizing pneumonia : Fever, Developed steadily , Non-productive cough, Dyspnea, Inspiratory crackles
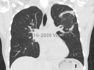
Imaging Studies image of Cryptogenic organizing pneumonia - imageId=8350008. Click to open in gallery.  caption: '<span>Reverse halo/atoll sign within  the right upper lobe and superior segment of the right lower lobe, with  peripheral dense airspace and central areas of ground glass  attenuation. Some additional areas of ground glass and airspace  opacities, and patchy airspace disease with the right middle lobe, with  traction bronchiectasis and architectural distortion.</span>'
Reverse halo/atoll sign within the right upper lobe and superior segment of the right lower lobe, with peripheral dense airspace and central areas of ground glass attenuation. Some additional areas of ground glass and airspace opacities, and patchy airspace disease with the right middle lobe, with traction bronchiectasis and architectural distortion.
Copyright © 2026 VisualDx®. All rights reserved.