Perinephric abscess
Alerts and Notices
Important News & Links
Synopsis
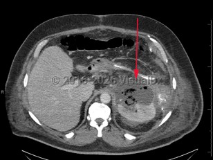
A perinephric abscess is a collection of suppurative material in the perinephric space between the renal capsule and Gerota fascia. This condition is an uncommon complication of urinary tract infections, with incidence ranging from 1 to 10 cases for every 10 000 hospital admissions. Risk factors include diabetes mellitus (type 1, type 2) and renal stones.
In the past, mortality rates were about 50% without treatment. In more recent reports, there was a significant improvement in mortality rate to less than 15%. This is due to more accurate diagnosis and treatment using percutaneous drainage, more effective antibiotics, and better supportive care.
Perinephric abscesses can be the consequence of pyonephrosis due to an obstruction nephrolith, recurrent pyelonephritis, or the rupture of a corticomedullary intra-nephric abscess. Perinephric abscess can also result from the spread of infection from extraperitoneal sites via hematogenous dissemination or from infection from adjacent structures such as the bowel, pancreas, and spine.
Escherichia coli is the most common etiologic organism in perinephric abscess. Proteus mirabilis commonly causes infective calculi. Other bacteria that can cause this infection include Staphylococcus aureus, Klebsiella, Enterobacter, Pseudomonas, Serratia, and Citrobacter species. Some infections may be polymicrobial. Enteric gram-negative organisms are common pathogens in the case of local extension, and gram-positive cocci in the case of hematogenous spread.
The clinical presentation is usually characterized by the insidious onset of fever, flank or abdominal pain, fatigue, and weight loss. Physical findings include flank or costovertebral tenderness. A palpable mass may be present in some cases.
Related topic: Renal Abscess
In the past, mortality rates were about 50% without treatment. In more recent reports, there was a significant improvement in mortality rate to less than 15%. This is due to more accurate diagnosis and treatment using percutaneous drainage, more effective antibiotics, and better supportive care.
Perinephric abscesses can be the consequence of pyonephrosis due to an obstruction nephrolith, recurrent pyelonephritis, or the rupture of a corticomedullary intra-nephric abscess. Perinephric abscess can also result from the spread of infection from extraperitoneal sites via hematogenous dissemination or from infection from adjacent structures such as the bowel, pancreas, and spine.
Escherichia coli is the most common etiologic organism in perinephric abscess. Proteus mirabilis commonly causes infective calculi. Other bacteria that can cause this infection include Staphylococcus aureus, Klebsiella, Enterobacter, Pseudomonas, Serratia, and Citrobacter species. Some infections may be polymicrobial. Enteric gram-negative organisms are common pathogens in the case of local extension, and gram-positive cocci in the case of hematogenous spread.
The clinical presentation is usually characterized by the insidious onset of fever, flank or abdominal pain, fatigue, and weight loss. Physical findings include flank or costovertebral tenderness. A palpable mass may be present in some cases.
Related topic: Renal Abscess
Codes
ICD10CM:
N15.1 – Renal and perinephric abscess
SNOMEDCT:
80640009 – Perinephric abscess
N15.1 – Renal and perinephric abscess
SNOMEDCT:
80640009 – Perinephric abscess
Look For
Subscription Required
Diagnostic Pearls
Subscription Required
Differential Diagnosis & Pitfalls
To perform a comparison, select diagnoses from the classic differential
Subscription Required
Best Tests
Subscription Required
Management Pearls
Subscription Required
Therapy
Subscription Required
References
Subscription Required
Last Updated:03/29/2017
Perinephric abscess
