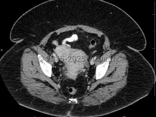
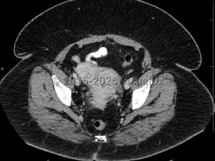
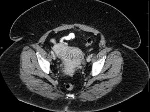
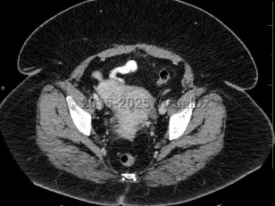
Uterine fibroids
Alerts and Notices
Important News & Links
Synopsis
Incidence can be as high as 70%-80% of women. Ultrasonography studies have shown that incidence is higher in Black than White women, and that they occur at an earlier age in Black women.
Fibroids are often asymptomatic and may be only first noted incidentally on imaging done for other reasons, but patients can also present with abnormal bleeding, infertility, painful intercourse, constipation, increased pelvic or bladder pressure, urinary frequency, or rectal pressure.
Codes
D25.9 – Leiomyoma of uterus, unspecified
SNOMEDCT:
95315005 – Uterine leiomyoma
Look For
Subscription Required
Diagnostic Pearls
Subscription Required
Differential Diagnosis & Pitfalls
Subscription Required
Best Tests
Subscription Required
Management Pearls
Subscription Required
Therapy
Subscription Required
Drug Reaction Data
Subscription Required
References
Subscription Required
Last Updated:03/09/2025
