Pancreatic carcinoma
Alerts and Notices
Important News & Links
Synopsis
Risk factors for development of pancreatic cancer include a personal history or first-degree relative with a specific germline variant or exocrine pancreatic cancer, hereditary pancreatitis, nonhereditary chronic pancreatitis, and cigarette use.
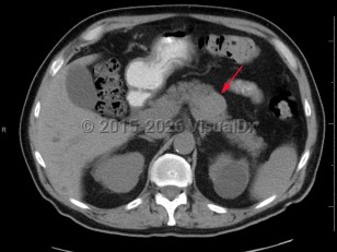
Patients typically present with advanced disease, as signs and symptoms can be very subtle, especially early in the disease. Classically described signs and symptoms include pain, jaundice, and weight loss.
Codes
C25.9 – Malignant neoplasm of pancreas, unspecified
SNOMEDCT:
372142002 – Carcinoma of pancreas
Look For
Subscription Required
Diagnostic Pearls
Subscription Required
Differential Diagnosis & Pitfalls
Subscription Required
Best Tests
Subscription Required
Management Pearls
Subscription Required
Therapy
Subscription Required
Drug Reaction Data
Subscription Required
References
Subscription Required
Last Updated:09/29/2024
