Contents

SynopsisCodesLook ForDiagnostic PearlsDifferential Diagnosis & PitfallsBest TestsManagement PearlsTherapyReferences

View all Images (13)

Potentially life-threatening emergency
Emphysematous cholecystitis
Other Resources UpToDate PubMed
Potentially life-threatening emergency

Emphysematous cholecystitis

Contributors: Amirah Khan MD, Paritosh Prasad MD
Other Resources UpToDate PubMed

Synopsis

Emphysematous cholecystitis is a rare variation of acute cholecystitis caused by secondary infection of the gallbladder wall with gas-forming bacteria such as Clostridium welchii, Clostridium perfringens, Escherichia coli, and Bacteroides fragilis as well as Pseudomonas, staphylococci, and streptococci. Men between the ages of 50 and 70 are most frequently affected. Type 2 diabetes and gallstones are common in affected patients. Emphysematous cholecystitis can also arise due to ischemia from atherosclerosis of the cystic artery.

Common presenting symptoms are similar to those for acute cholecystitis and include upper right quadrant abdominal pain, nausea, vomiting, and low-grade fever. On physical exam, abdominal wall crepitus may be palpated in the area overlying the gallbladder. Common complications include gangrene, perforation, pericholecystic abscess, and peritonitis. Uncommon complications include pneumoperitoneum.

Emergent antibiotic therapy followed by cholecystectomy is the treatment of choice due to increased risk of perforation.

Codes

ICD10CM:
K81.0 – Acute cholecystitis

SNOMEDCT:
32067005 – Acute emphysematous cholecystitis

Look For

Subscription Required

Diagnostic Pearls

Subscription Required

Differential Diagnosis & Pitfalls

To perform a comparison, select diagnoses from the classic differential

Subscription Required

Best Tests

Subscription Required

Management Pearls

Subscription Required

Therapy

Subscription Required

References

Subscription Required

Last Reviewed:05/20/2018
Last Updated:05/20/2018
Copyright © 2026 VisualDx®. All rights reserved.
Potentially life-threatening emergency
Emphysematous cholecystitis
A medical illustration showing key findings of Emphysematous cholecystitis : Nausea, Vomiting, Low grade fever, RUQ pain, WBC elevated
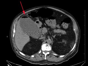
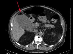
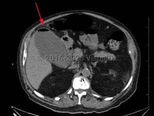
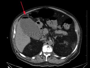
Imaging Studies image of Emphysematous cholecystitis - imageId=8355357. Click to open in gallery.  caption: '<span>Image from CT scan demonstrates a distended gallbladder with air in the wall. The patient also had gallstones. </span>'
Image from CT scan demonstrates a distended gallbladder with air in the wall. The patient also had gallstones.
Copyright © 2026 VisualDx®. All rights reserved.