Adrenocortical carcinoma
Alerts and Notices
Important News & Links
Synopsis
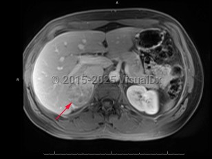
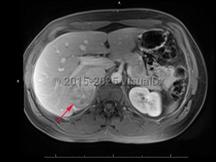
An adrenocortical carcinoma is a rare (1 case per 1 million adults) malignant tumor of the adrenal cortex. The tumor is typically unilateral and may have an irregular shape. Adrenal carcinomas may be found incidentally on imaging or may be identified after a patient shows signs of endocrine dysfunction, such as hypercortisolism or virilization. About half of adrenal carcinomas do not produce hormones, while the other half produce any combination of the normal adrenal cortical hormones. Adrenal carcinomas have a bimodal epidemiology. They are most common in children aged younger than 5 years and in middle-aged adults. Syndromes such as multiple endocrine neoplasia type 1 are uncommonly the cause of adrenal carcinoma.
Adrenocortical carcinoma has a chronic duration, lasting years. Prognosis varies based on staging of the cancer; however, nearly half of all patients have metastases at the time of initial diagnosis.
Adrenocortical carcinoma has a chronic duration, lasting years. Prognosis varies based on staging of the cancer; however, nearly half of all patients have metastases at the time of initial diagnosis.
Codes
ICD10CM:
C74.90 – Malignant neoplasm of adrenal gland
SNOMEDCT:
255035007 – Adrenal carcinoma
C74.90 – Malignant neoplasm of adrenal gland
SNOMEDCT:
255035007 – Adrenal carcinoma
Differential Diagnosis & Pitfalls
To perform a comparison, select diagnoses from the classic differential
Subscription Required
Best Tests
Subscription Required
Therapy
Subscription Required
References
Subscription Required
Last Updated:02/08/2023
Adrenocortical carcinoma
