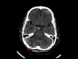
A traumatic injury to the cerebellum occurring when there is forceful contact with the occipital area and surrounding cranium, particularly bony ridges, leading to cerebellar edema and/or punctate hemorrhages. Characterized by dizziness, drowsiness, dysarthria, ataxia, loss of consciousness, and coma. Other signs and symptoms include fatigue, malaise, nystagmus, vertigo, and mydriasis. Associated with basilar skull fracture, cerebellar hemorrhage, traumatic hematoma, subarachnoid hemorrhage, and traumatic brain injury.
Management includes careful assessment and monitoring of symptoms and level of consciousness, mindful that there can be delayed deterioration after cerebellar contusion, which increases risk for complications and death following brain trauma. Wide craniectomy and internal decompression may be advised.
Potentially life-threatening emergency
Cerebellar contusion
Alerts and Notices
Important News & Links
Synopsis
Codes
ICD10CM:
S06.370A – Contusion, laceration, and hemorrhage of cerebellum without loss of consciousness, initial encounter
SNOMEDCT:
127304009 – Cerebellar Contusion
S06.370A – Contusion, laceration, and hemorrhage of cerebellum without loss of consciousness, initial encounter
SNOMEDCT:
127304009 – Cerebellar Contusion
Differential Diagnosis & Pitfalls
To perform a comparison, select diagnoses from the classic differential
Subscription Required
Best Tests
Subscription Required
References
Subscription Required
Last Updated:03/12/2018
Potentially life-threatening emergency
Cerebellar contusion
