Hepatic hemangioma
Alerts and Notices
Important News & Links
Synopsis
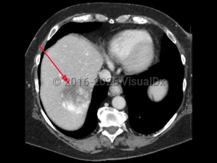
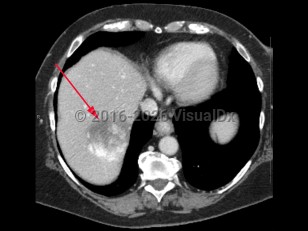
Most hepatic hemangiomas are asymptomatic and are incidental findings on abdominal imaging. Larger lesions are more likely to cause symptoms, including abdominal pain (especially in the upper right quadrant), nausea, and anorexia. Women are 3 times as likely to develop hemangiomas and are more likely to experience symptoms. The etiology of hepatic hemangiomas is unclear, but hormonal influence over tumor enlargement may explain the higher incidence of symptomatic lesions in women. Lesions may grow during pregnancy and in the setting of oral contraceptive therapy. Surgical resection may be necessary for patients experiencing pain.
Codes
D18.09 – Hemangioma of other sites
SNOMEDCT:
93469006 – Hemangioma of liver
Look For
Subscription Required
Diagnostic Pearls
Subscription Required
Differential Diagnosis & Pitfalls
Subscription Required
Best Tests
Subscription Required
Management Pearls
Subscription Required
Therapy
Subscription Required
Drug Reaction Data
Subscription Required
References
Subscription Required
Last Updated:01/07/2018
