Contents

SynopsisCodesLook ForDiagnostic PearlsDifferential Diagnosis & PitfallsBest TestsManagement PearlsTherapyReferences

View all Images (3)

Emergency: requires immediate attention
Hypertrophic pyloric stenosis
Other Resources UpToDate PubMed
Emergency: requires immediate attention

Hypertrophic pyloric stenosis

Contributors: Michael W. Winter MD, Khaled Bittar MD, Nishant H. Patel MD, Desiree Rivera-Nieves MD
Other Resources UpToDate PubMed

Synopsis

Hypertrophic pyloric stenosis (PS) is a narrowing of the pyloric lumen due to tissue hypertrophy and scarring. The resultant intestinal narrowing leads to gastric outlet obstruction and bowel obstruction. Although hypertrophic PS can very rarely occur in children and adults, this summary is focused on infantile hypertrophic PS. Patients present with emesis, usually within the first several months of life.

PS is predominantly seen in males (approximately 4:1) and presents typically at 2-7 weeks of life with nonbilious, postprandial projectile emesis and dehydration. Children of parents who had PS have a 20% increased risk of developing PS, suggesting a genetic component, although no clear genetic etiology has been identified.

PS is most common in people of Northern European descent, with an incidence range of approximately 2-5:1000 live births in these populations. PS is far less common in people of African and Asian descent. Prematurity, maternal smoking during gestation, and antibiotics within the first weeks of life are all independent risk factors for developing PS.

The complications of PS are due to dehydration and malnutrition. Patients often present with lethargy, failure to thrive, and a hypochloremic, hypokalemic metabolic alkalosis.

Symptoms will continue until a corrective pyloromyotomy is performed.

PS is seen in increased prevalence among patients with Turner syndrome, trisomy 18 syndrome, and tracheo-esophageal fistulas.

Codes

ICD10CM:
K31.1 – Adult hypertrophic pyloric stenosis

SNOMEDCT:
367403001 – Pyloric stenosis

Look For

Subscription Required

Diagnostic Pearls

Subscription Required

Differential Diagnosis & Pitfalls

To perform a comparison, select diagnoses from the classic differential

Subscription Required

Best Tests

Subscription Required

Management Pearls

Subscription Required

Therapy

Subscription Required

References

Subscription Required

Last Reviewed:05/23/2017
Last Updated:07/07/2022
Copyright © 2026 VisualDx®. All rights reserved.
Emergency: requires immediate attention
Hypertrophic pyloric stenosis
A medical illustration showing key findings of Hypertrophic pyloric stenosis : Dehydration, Failure to thrive, Metabolic alkalosis, Postprandial projectile vomiting, LUQ pain
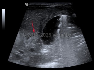
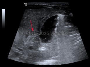
Imaging Studies image of Hypertrophic pyloric stenosis - imageId=7879501. Click to open in gallery.  caption: '<span>Hypertrophic pyloric stenosis  is seen on ultrasound image as  thickening of the pyloric muscle and  elongated pyloric canal length.</span>'
Hypertrophic pyloric stenosis is seen on ultrasound image as thickening of the pyloric muscle and elongated pyloric canal length.
Copyright © 2026 VisualDx®. All rights reserved.