Search Results
DDx Strength: Weak
toremifene, Rash or multiple lesions, 50-59 year old Female

Edit Findings
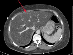
Drug-induced hepatotoxicity
Pruritus without rashPruritus without rash
Drug-induced pigmentationDrug-induced pigmentation
Acute coronary syndrome
CataractsCataracts
Congestive heart failureCongestive heart failure
Coronary artery disease
Drug-induced nausea or vomiting
Drug-induced alopeciaDrug-induced alopecia
Drug-induced anorexia
Drug-induced depressive disorder
Drug-induced diaphoresis
Drug-induced fatigue
Drug-induced headache
Drug-induced leukopenia
Drug-induced stroke
Endometrial carcinomaEndometrial carcinoma
Hyperbilirubinemia
Leukorrhea
Ocular drug reaction
Prolonged QT interval
Pulmonary embolismPulmonary embolism
Vertigo
Acute liver failure
Drug-induced heart failure
Drug-induced menstrual changes
Drug-induced movement disorders
Endometrial hyperplasia
Hypercalcemia
Metabolic dysfunction-associated steatotic liver diseaseMetabolic dysfunction-associated steatotic liver disease
Drug-induced jaundiceDrug-induced jaundice