Search Results
DDx Strength: Weak
Anasarca, 50-59 year old Female

Edit Findings
Chronic kidney diseaseChronic kidney disease
Congestive heart failureCongestive heart failure
Acute kidney injury
Liver cirrhosis
Congenital lymphedemaCongenital lymphedema
Nephrotic syndrome
Acute edema blisterAcute edema blister
Focal segmental glomerulosclerosis
Membranoproliferative glomerulonephritis
IgA nephropathy
Membranous nephropathy
Mitral regurgitation
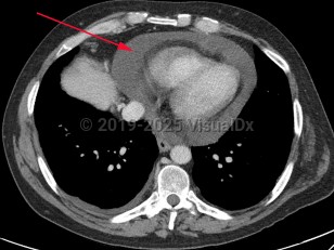
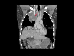
Pericardial effusionPericardial effusion
Ventricular septal defect
Acute poststreptococcal glomerulonephritis
Acute respiratory distress syndromeAcute respiratory distress syndrome
Cor pulmonale
Hepatopulmonary syndrome
Intestinal lymphangiectasias
Juvenile polyposis syndrome
LymphomaLymphoma
Parvovirus B19 infectionParvovirus B19 infection
Radiation nephropathy
Restrictive cardiomyopathy
Superior vena cava syndromeSuperior vena cava syndrome
Tricuspid regurgitation
Tricuspid valve stenosis
KwashiorkorKwashiorkor
Ovarian hyperstimulation syndrome
Acute inflammatory edema
Autoimmune lymphoproliferative syndrome
Cardiac sarcoma
Chylous ascites
Congenital disorder of glycosylation
Fasciolopsiasis
Hemolytic uremic syndrome
Light chain deposition disease
Mast cell leukemia
Portopulmonary hypertension
Sarcocystis nesbitti infection
Subacute effusive constrictive pericarditis
Tropical sprue
Type III polyglandular autoimmune syndrome
Volkmann ischemic contracture
Acute myeloid leukemiaAcute myeloid leukemia
Drug-induced peripheral edema
AA amyloidosis
AL amyloidosisAL amyloidosis
Alpha-1 antitrypsin deficiencyAlpha-1 antitrypsin deficiency
Beriberi
Blastocystis hominis infection
Chronic graft-versus-host diseaseChronic graft-versus-host disease
LymphangiosarcomaLymphangiosarcoma
Pulmonary hypertension
Copper deficiency
Galactosemia
Griscelli syndrome
Lymphatic filariasisLymphatic filariasis