Search Results
DDx Strength: Weak
Anemia, Hypotension, 50-59 year old Female

Edit Findings
Chronic kidney diseaseChronic kidney disease
Lassa fever
Alcohol use disorderAlcohol use disorder
Food allergy
Vitamin B12 deficiencyVitamin B12 deficiency
Synthetic cannabinoid poisoning
Toxic shock syndromeToxic shock syndrome
Iodine deficiency
Boric acid toxicity
Drug-induced agranulocytosis
Pure autonomic failure
GI bleeding
Secondary adrenal insufficiency
Bacterial sepsisBacterial sepsis
Drug-induced hypotension
Enterohemorrhagic Escherichia coli infection
Hepatic encephalopathy
Inhalant abuse
Addison diseaseAddison disease
Disseminated intravascular coagulationDisseminated intravascular coagulation
Malaria
Sympatholytic syndrome
American trypanosomiasisAmerican trypanosomiasis
Avoidant-restrictive food intake disorder
Cyanide poisoning
Mushroom poisoning
Crohn disease
Gas gangreneGas gangrene
Angiodysplasia of the colon
Atrial myxomaAtrial myxoma
Drug-induced anemia
Postpartum hypopituitarism
ScurvyScurvy
Wilms tumor
Krukenberg tumor
Heat stroke
Acute coronary syndrome
HypothyroidismHypothyroidism
Hepatocellular carcinomaHepatocellular carcinoma
Liver cirrhosis
Rocky Mountain spotted feverRocky Mountain spotted fever
Iron deficiency anemiaIron deficiency anemia
Colonic polypsColonic polyps
Restless legs syndrome
Ecthyma gangrenosumEcthyma gangrenosum
Enteric feverEnteric fever
Hypopituitarism
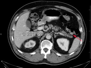
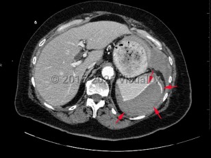
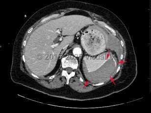
Splenic ruptureSplenic rupture
Subdiaphragmatic abscess
Talaromyces marneffei infectionTalaromyces marneffei infection
Anaplasmosis
Anorexia nervosaAnorexia nervosa
Antiphospholipid antibody syndromeAntiphospholipid antibody syndrome
Beriberi
CryoglobulinemiaCryoglobulinemia
Drug-induced hypersensitivity syndromeDrug-induced hypersensitivity syndrome
EhrlichiosisEhrlichiosis
Endometritis
Esophageal varices
Human immunodeficiency virus disease