Search Results
DDx Strength: Weak
baricitinib, Rash or multiple lesions, 50-59 year old Female

Edit Findings
FolliculitisFolliculitis
Herpes zosterHerpes zoster
Palmoplantar pustulosisPalmoplantar pustulosis
Acne vulgarisAcne vulgaris
Deep vein thrombosisDeep vein thrombosis
Drug-induced acneiform eruption
Drug-induced hepatotoxicity
Cytomegalovirus infectionCytomegalovirus infection
TuberculosisTuberculosis
Molluscum contagiosumMolluscum contagiosum
Paradoxical psoriasis
Drug-induced nausea or vomiting
Gastroenteritis
Oral candidiasisOral candidiasis
Urinary tract infection
Drug-induced headache
Drug-induced leukopenia
Drug-induced oral ulcerDrug-induced oral ulcer
Drug-induced stroke
GI bleeding
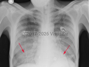
Pulmonary embolismPulmonary embolism
Bowel perforationBowel perforation
Drug-induced hypercholesterolemia
Pneumocystis jirovecii pneumoniaPneumocystis jirovecii pneumonia
Drug-induced anemia
Acute coronary syndrome