Search Results
DDx Strength: Weak
fluoroquinolone, Rash or multiple lesions, 50-59 year old Female

Edit Findings
Stevens-Johnson syndromeStevens-Johnson syndrome
Anaphylaxis
CandidiasisCandidiasis
Drug-induced photoallergic reactionDrug-induced photoallergic reaction
Exanthematous drug eruptionExanthematous drug eruption
Nonspecific vulvovaginitis
UrticariaUrticaria
Vulvovaginal candidiasisVulvovaginal candidiasis
AngioedemaAngioedema
Delusions of parasitosisDelusions of parasitosis
Drug-induced acneiform eruption
Drug-induced hepatotoxicity
Drug-induced non-palpable purpuraDrug-induced non-palpable purpura
Drug-induced photosensitive reactionDrug-induced photosensitive reaction
Drug-induced phototoxic reactionDrug-induced phototoxic reaction
Erythema multiformeErythema multiforme
Erythema nodosumErythema nodosum
Fixed drug eruptionFixed drug eruption
Leukocytoclastic vasculitisLeukocytoclastic vasculitis
PanniculitisPanniculitis
Pruritus without rashPruritus without rash
Ulcerative colitis
VasculitisVasculitis
Syndrome of inappropriate antidiuretic hormone
Drug-induced hypersensitivity syndromeDrug-induced hypersensitivity syndrome
Acute generalized exanthematous pustulosisAcute generalized exanthematous pustulosis
Angioimmunoblastic lymphadenopathyAngioimmunoblastic lymphadenopathy
Bullous drug eruption
Granulomatous vasculitisGranulomatous vasculitis
HyperhidrosisHyperhidrosis
Linear IgA bullous dermatosisLinear IgA bullous dermatosis
Pyoderma gangrenosumPyoderma gangrenosum
Systemic contact dermatitisSystemic contact dermatitis
Thrombotic thrombocytopenic purpuraThrombotic thrombocytopenic purpura
Toxic epidermal necrolysisToxic epidermal necrolysis
Acquired pancytopeniaAcquired pancytopenia
Drug-induced thrombocytopenia
Hemolytic uremic syndrome
Immunoglobulin A vasculitisImmunoglobulin A vasculitis
Jarisch-Herxheimer reaction
Purpura fulminansPurpura fulminans
Toxic erythema of chemotherapy
Radiation recall
Drug-induced pigmentationDrug-induced pigmentation
ErythrodermaErythroderma
Acute febrile neutrophilic dermatosisAcute febrile neutrophilic dermatosis
Bullous pemphigoidBullous pemphigoid
Serum sickness-like reactionSerum sickness-like reaction
Symmetrical drug-related intertriginous and flexural exanthema
PseudoporphyriaPseudoporphyria
Acral erythemaAcral erythema
CapillaritisCapillaritis
Drug-induced lupus erythematosus
Lichenoid drug eruptionLichenoid drug eruption
Subacute cutaneous lupus erythematosusSubacute cutaneous lupus erythematosus
PseudolymphomaPseudolymphoma
Drug-induced peripheral edema
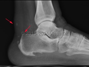
Achilles tendonitis
Carpal tunnel syndrome
Clostridioides difficile colitisClostridioides difficile colitis