Search Results
DDx Strength: Weak
levofloxacin, Rash or multiple lesions, 50-59 year old Female

Edit Findings
Radiation recall
Anaphylaxis
CandidiasisCandidiasis
Exanthematous drug eruptionExanthematous drug eruption
Nonspecific vulvovaginitis
UrticariaUrticaria
Drug-induced hepatotoxicity
Drug-induced photosensitive reactionDrug-induced photosensitive reaction
Drug-induced phototoxic reactionDrug-induced phototoxic reaction
Fixed drug eruptionFixed drug eruption
Pruritus without rashPruritus without rash
Acute generalized exanthematous pustulosisAcute generalized exanthematous pustulosis
Bullous drug eruption
Granulomatous vasculitisGranulomatous vasculitis
Drug-induced thrombocytopenia
Purpura fulminansPurpura fulminans
Drug-induced pigmentationDrug-induced pigmentation
Drug-induced hypersensitivity syndromeDrug-induced hypersensitivity syndrome
Bullous pemphigoidBullous pemphigoid
Symmetrical drug-related intertriginous and flexural exanthema
Toxic epidermal necrolysisToxic epidermal necrolysis
CapillaritisCapillaritis
Drug-induced non-palpable purpuraDrug-induced non-palpable purpura
Leukocytoclastic vasculitisLeukocytoclastic vasculitis
VasculitisVasculitis
Acute febrile neutrophilic dermatosisAcute febrile neutrophilic dermatosis
PseudolymphomaPseudolymphoma
Serum sickness-like reactionSerum sickness-like reaction
Stevens-Johnson syndromeStevens-Johnson syndrome
Drug-induced peripheral edema
Achilles tendonitis
Clostridioides difficile colitisClostridioides difficile colitis
Drug-induced abdominal pain
Drug-induced diarrhea
Drug-induced nausea or vomiting
Insomnia
Oral candidiasisOral candidiasis
Tendonitis
Abdominal aortic aneurysmAbdominal aortic aneurysm
Acute interstitial nephritis
Acute kidney injury
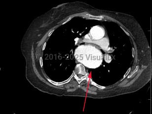
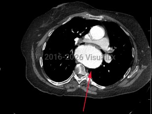
Aortic dissectionAortic dissection
Delirium
Drug-induced anxiety
Drug-induced arthralgia
Drug-induced constipation
Drug-induced depressive disorder
Drug-induced dizziness
Drug-induced dysgeusia
Drug-induced dyspnea
Drug-induced fever
Drug-induced headache
Drug-induced leukopenia
Drug-induced ototoxicity
Hypoglycemia
Ocular drug reaction
Optic neuritisOptic neuritis
Prolonged QT interval
Seizure
Thoracic aortic aneurysmThoracic aortic aneurysm