Search Results
DDx Strength: Weak
lisinopril, Rash or multiple lesions, 50-59 year old Female

Edit Findings
AngioedemaAngioedema
Exanthematous drug eruptionExanthematous drug eruption
Drug-induced hepatotoxicity
Drug-induced photosensitive reactionDrug-induced photosensitive reaction
GoutGout
UrticariaUrticaria
Pityriasis roseaPityriasis rosea
Pruritus without rashPruritus without rash
Drug-induced cough
Bullous drug eruption
Bullous pemphigoidBullous pemphigoid
PseudolymphomaPseudolymphoma
Drug-induced hypotension
Hyperkalemia
BRASH syndrome
Spontaneous abortion
PsoriasisPsoriasis
Drug-induced lupus erythematosus
Drug-induced non-palpable purpuraDrug-induced non-palpable purpura
ErythrodermaErythroderma
Lichenoid drug eruptionLichenoid drug eruption
Subacute cutaneous lupus erythematosusSubacute cutaneous lupus erythematosus
VasculitisVasculitis
Pemphigus vulgarisPemphigus vulgaris
Acquired pancytopeniaAcquired pancytopenia
Aplastic anemiaAplastic anemia
Immunoglobulin A vasculitisImmunoglobulin A vasculitis
Non-AIDS-associated Kaposi sarcomaNon-AIDS-associated Kaposi sarcoma
Pemphigus foliaceusPemphigus foliaceus
Drug-induced abdominal pain
Drug-induced diarrhea
Drug-induced nausea or vomiting
Drug-induced syncope
Orthostatic hypotension
Acute kidney injury
Drug-induced diaphoresis
Drug-induced dizziness
Drug-induced dysgeusia
Drug-induced dyspnea
Drug-induced fatigue
Drug-induced flushing reaction
Drug-induced headache
Drug-induced ototoxicity
Drug-induced palpitations
Hyperbilirubinemia
Metabolic acidosis
Substance-induced sexual dysfunction
Vertigo
Acute liver failure
Drug-induced chest pain
Drug-induced diabetes
Drug-induced jaundiceDrug-induced jaundice
Acute pancreatitis
Burning mouth syndrome
Drug-induced anorexia
Drug-induced leukopenia
Drug-induced oral ulcerDrug-induced oral ulcer
Hypoglycemia
Hyponatremia
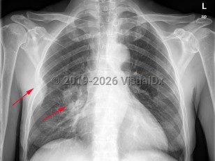
Lung cancerLung cancer