Search Results
DDx Strength: Weak
Vomiting, Fever, 50-59 year old Female

Edit Findings
Streptococcal pharyngitisStreptococcal pharyngitis
Enteric feverEnteric fever
Yellow fever
Leptospirosis
Chandipura virus disease
Oropouche fever
COVID-19
Sinusitis
Crimean-Congo hemorrhagic fever
Primary amebic encephalitis
Rocky Mountain spotted feverRocky Mountain spotted fever
Bacterial sepsisBacterial sepsis
Cannabinoid hyperemesis syndrome
Cyclic vomiting syndrome
Anaplasmosis
Chikungunya
Dengue feverDengue fever
EhrlichiosisEhrlichiosis
EVALI
Malaria
Scarlet feverScarlet fever
Acute cholangitisAcute cholangitis
Endemic typhus
MeaslesMeasles
Mushroom poisoning
Lassa fever
Argentine hemorrhagic fever
Avian influenzaAvian influenza
Louse-borne relapsing fever
Spinal epidural abscess
Sudden conjunctivitis, lymphopenia, and rash combined with hemodynamic changes
Kawasaki diseaseKawasaki disease
Hemophagocytic lymphohistiocytosisHemophagocytic lymphohistiocytosis
Human parechovirus infection
Norovirus infection
Alcohol use disorderAlcohol use disorder
Diverticular disease
Gastroenteritis
InfluenzaInfluenza
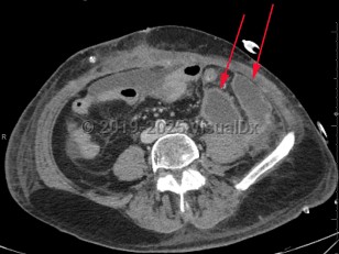
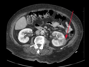
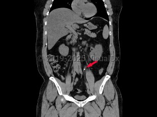
Ureteral calculus
Viral gastroenteritis
Aspiration pneumonia
SarcoidosisSarcoidosis
Abdominal aortic aneurysmAbdominal aortic aneurysm
Cocaine intoxication and use disorder
Heat stroke
Human metapneumovirus infection
Hypernatremia
Hypertensive emergency
Pyelonephritis
Ureterocele
Acute meningococcemiaAcute meningococcemia
Capnocytophaga canimorsus sepsis
Gallbladder torsion
Hepatitis A virus infection
Intraabdominal abscessIntraabdominal abscess
Kikuchi-Fujimoto diseaseKikuchi-Fujimoto disease
Lymphocytic choriomeningitis
Middle East respiratory syndrome coronavirus
Pyogenic liver abscessPyogenic liver abscess