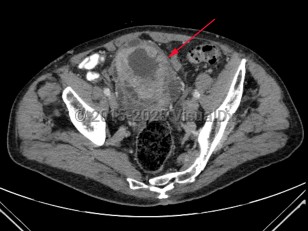
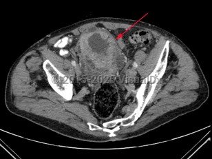
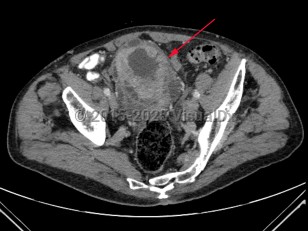
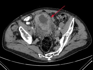
Bladder cancer
Alerts and Notices
Important News & Links
Synopsis
Risk factors for development of bladder carcinoma include advancing age, male sex, being of Northern European descent, and cigarette smoking. Occupations with exposures linked to increased risk of bladder cancer include metal workers, painters, leather workers, miners, excavating-machine operators, and manufacturers of carpets, paints, plastics, and industrial chemicals.
Patients with bladder cancer typically present with painless gross or microscopic hematuria, although dysuria, frequency, and urgency may be the presenting symptoms. Diagnosis may be delayed due to the similarity of these symptoms to benign conditions such as urinary tract infections, nephrolithiasis, cystitis, or prostatitis. Urothelial cancer may mimic bladder cancer. In patients younger than 50 years, asymptomatic microscopic hematuria is rarely associated with bladder cancer.
Treatment options depend on depth of tumor invasion and presence or absence of metastatic disease. Transurethral resection of bladder tumor (TURBT) may be combined with adjuvant chemotherapy for early-stage disease with radical cystectomy and/or chemotherapy in late-stage disease.
Codes
C67.9 – Malignant neoplasm of bladder, unspecified
SNOMEDCT:
399326009 – Malignant tumor of urinary bladder
Look For
Subscription Required
Diagnostic Pearls
Subscription Required
Differential Diagnosis & Pitfalls
Subscription Required
Best Tests
Subscription Required
Management Pearls
Subscription Required
Therapy
Subscription Required
Drug Reaction Data
Subscription Required
References
Subscription Required
Last Updated:10/21/2020
