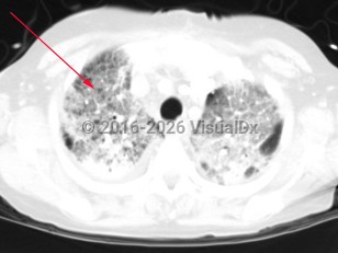
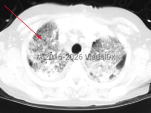
Haemophilus influenzae pneumonia
Alerts and Notices
Important News & Links
Synopsis
Haemophilus influenzae is a small, gram-negative, facultative anaerobic organism with a variable appearance on clinical specimens ranging from coccobacilli to long filaments. In addition to causing serious invasive infection, this organism is also an important etiology of both community-acquired and hospital-acquired pneumonia.
Haemophilus influenzae is a human-specific pathogen and is only found in the respiratory tract of humans. The incidence of H influenzae type b infections has significantly declined since the introduction of a highly effective conjugate vaccine, which induces a bactericidal antibody against the capsule and eliminates nasal carriage of the type b strains. The nontypeable strains lack a capsule and are frequent colonizers of the upper respiratory airways beginning in infancy. Up to 80% of healthy adults are carriers. Nontypeable strains also colonize the lower respiratory tracts of patients with chronic obstructive pulmonary disease (COPD) and cystic fibrosis.
The signs and symptoms of H influenzae pneumonia are not appreciably different from those of other pathogen-causing pneumonias, and there are no clinical findings that can be used to reliably differentiate this pathogen from other pathogens.
Symptoms include fever, cough, and shortness of breath. Symptoms may differ depending on the type of pneumonia (either segmental or bronchopneumonia). Patients with a segmental pneumonia can present with abrupt onset of fever and pleuritic chest pain. These patients tend to develop bacteremia more frequently than those with bronchopneumonia. Patients with bronchopneumonia can present with constitutional symptoms, tachypnea, and mild fever. Haemophilus influenzae more commonly presents as a bronchopneumonia.
This pathogen is considered an important cause of pneumonia in children, especially in developing countries. The majority of adult patients will have a severe underlying comorbid disease such as alcohol use disorder, COPD, HIV infection, or diabetes mellitus (type 1, type 2).
The overall mortality rate for adults is in the range of 12%-29%. This high mortality rate is likely related to the fact that the patients who develop this disease have severe comorbid conditions present along with the pneumonia. Complications can include lung abscess, empyema, meningitis, arthritis, pericarditis, epiglottitis, bacteremia, and sepsis.
Haemophilus influenzae is a human-specific pathogen and is only found in the respiratory tract of humans. The incidence of H influenzae type b infections has significantly declined since the introduction of a highly effective conjugate vaccine, which induces a bactericidal antibody against the capsule and eliminates nasal carriage of the type b strains. The nontypeable strains lack a capsule and are frequent colonizers of the upper respiratory airways beginning in infancy. Up to 80% of healthy adults are carriers. Nontypeable strains also colonize the lower respiratory tracts of patients with chronic obstructive pulmonary disease (COPD) and cystic fibrosis.
The signs and symptoms of H influenzae pneumonia are not appreciably different from those of other pathogen-causing pneumonias, and there are no clinical findings that can be used to reliably differentiate this pathogen from other pathogens.
Symptoms include fever, cough, and shortness of breath. Symptoms may differ depending on the type of pneumonia (either segmental or bronchopneumonia). Patients with a segmental pneumonia can present with abrupt onset of fever and pleuritic chest pain. These patients tend to develop bacteremia more frequently than those with bronchopneumonia. Patients with bronchopneumonia can present with constitutional symptoms, tachypnea, and mild fever. Haemophilus influenzae more commonly presents as a bronchopneumonia.
This pathogen is considered an important cause of pneumonia in children, especially in developing countries. The majority of adult patients will have a severe underlying comorbid disease such as alcohol use disorder, COPD, HIV infection, or diabetes mellitus (type 1, type 2).
The overall mortality rate for adults is in the range of 12%-29%. This high mortality rate is likely related to the fact that the patients who develop this disease have severe comorbid conditions present along with the pneumonia. Complications can include lung abscess, empyema, meningitis, arthritis, pericarditis, epiglottitis, bacteremia, and sepsis.
Codes
ICD10CM:
J14 – Pneumonia due to Hemophilus influenzae
SNOMEDCT:
70036007 – Haemophilus influenzae pneumonia
J14 – Pneumonia due to Hemophilus influenzae
SNOMEDCT:
70036007 – Haemophilus influenzae pneumonia
Look For
Subscription Required
Diagnostic Pearls
Subscription Required
Differential Diagnosis & Pitfalls
To perform a comparison, select diagnoses from the classic differential
Subscription Required
Best Tests
Subscription Required
Management Pearls
Subscription Required
Therapy
Subscription Required
References
Subscription Required
Last Reviewed:03/31/2026
Last Updated:04/02/2026
Last Updated:04/02/2026
Haemophilus influenzae pneumonia
