Contents

SynopsisCodesLook ForDiagnostic PearlsDifferential Diagnosis & PitfallsBest TestsManagement PearlsTherapyReferences

View all Images (7)

Ependymoma
Other Resources UpToDate PubMed

Ependymoma

Contributors: Andrea Wasilewski MD, Jamie Adams MD, Richard L. Barbano MD, PhD
Other Resources UpToDate PubMed

Synopsis

An ependymoma is a tumor of the brain or spinal cord arising from ependymal cells. Ependymomas account for 4% of central nervous system (CNS) tumors in adults and 10% of CNS tumors in children. In children, they are most often located in the 4th ventricle and posterior fossa, whereas in adults, they are more frequently located in the spinal cord. In the spinal cord, they tend to occur centrally, causing symmetric cord expansion. Peak incidence in adults occurs between 30 and 40 years of age.

Signs and symptoms depend on tumor location but may include headache, vomiting, papilledema, lethargy, ataxia, nystagmus, weakness or difficultly walking, sensory disturbance, urinary or bowel dysfunction. Ependymomas have a high incidence in patients with neurofibromatosis type 2.

Codes

ICD10CM:
C71.9 – Malignant neoplasm of brain, unspecified

SNOMEDCT:
443643007 – Ependymoma

Look For

Subscription Required

Diagnostic Pearls

Subscription Required

Differential Diagnosis & Pitfalls

To perform a comparison, select diagnoses from the classic differential

Subscription Required

Best Tests

Subscription Required

Management Pearls

Subscription Required

Therapy

Subscription Required

References

Subscription Required

Last Reviewed:03/12/2018
Last Updated:03/12/2018
Copyright © 2026 VisualDx®. All rights reserved.
Ependymoma
A medical illustration showing key findings of Ependymoma : Seizures, Headache, Nausea, Vomiting, Ataxia, Papilledema, Vertigo
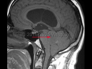
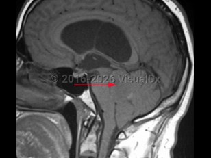
Imaging Studies image of Ependymoma - imageId=8342748. Click to open in gallery.  caption: '<span>T1 weighted sagittal MRI demonstrating ependymoma of the fourth ventricle.</span>'
T1 weighted sagittal MRI demonstrating ependymoma of the fourth ventricle.
Copyright © 2026 VisualDx®. All rights reserved.