Diverticular disease
Alerts and Notices
Important News & Links
Synopsis
Patients rarely require resuscitative care unless advanced disease is suspected, such as frank perforation with peritonitis or sepsis. In those instances, emergent intravenous (IV) access, resuscitative fluids, early broad-spectrum antibiotics emphasizing enteric coverage, and prompt surgical consultation should be considered.
Diagnosis Overview:
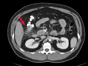
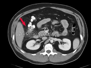
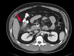
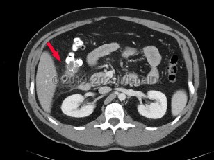
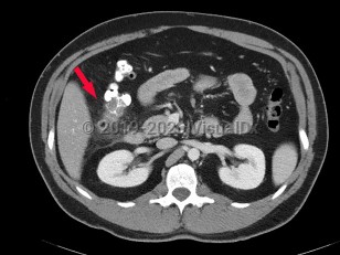
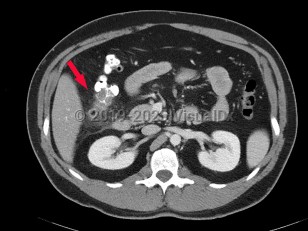
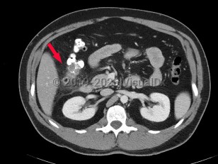
Diverticulitis is a disease characterized by inflammation in colonic diverticula. Cases are classified as uncomplicated or complicated on the basis of clinical and radiographic features. Uncomplicated cases are characterized by clinically stable patients with inflammation in a localized area of the bowel wall. By contrast, complicated disease is defined by the presence of abscess, phlegmon, fistula formation, obstruction (large bowel, small bowel), bleeding, perforation, or peritonitis, which are collectively present in about 12% of cases.
Diverticulosis is thought to develop in the setting of increased intraluminal pressure within the bowel and subsequent impairment of bowel wall integrity. Diverticuli may become occluded, leading to bacterial overgrowth with resultant inflammation or infection. Microperforation of diverticuli can lead to more complicated disease. Smoking, obesity, and the use of NSAIDs are associated with increased risk of diverticulosis and diverticulitis.
Patients classically present with abdominal pain (typically left lower quadrant), nausea and/or emesis, and fevers. Changes in bowel habits including loose, sometimes bloody bowel movements, as well as constipation, can occur. The prevalence is strongly associated with age and is most common in adults aged older than 50 years, although the incidence in younger populations has increased steadily in recent decades.
Codes
K57.32 – Diverticulitis of large intestine without perforation or abscess without bleeding
SNOMEDCT:
398050005 – Diverticular disease of colon
Look For
Subscription Required
Diagnostic Pearls
Subscription Required
Differential Diagnosis & Pitfalls
Subscription Required
Best Tests
Subscription Required
Management Pearls
Subscription Required
Therapy
Subscription Required
Drug Reaction Data
Subscription Required
References
Subscription Required
Last Updated:04/04/2023
