Gastrointestinal stromal tumor
Alerts and Notices
Important News & Links
Synopsis
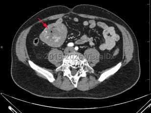
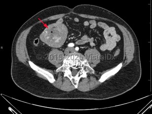
Gastrointestinal stromal tumors (GISTs) are subepithelial neoplasms most often located in the stomach (60%-70% of cases) and proximal small intestine (20%-30% of cases), but they can occur at any portion of the alimentary tract including the omentum, mesentery, and peritoneum. GISTs most commonly occur in middle-aged and older individuals, although there are pediatric forms associated with syndromes such as the Carney triad, Carney-Stratakis syndrome, and neurofibromatosis type 1.
Clinical manifestations include nonspecific symptoms such as early satiety and bloating. Often, GISTs are discovered on imaging performed for another purpose. GISTs may remain asymptomatic unless they ulcerate, bleed, or grow large enough to cause mechanical obstruction. Sites of metastases include the liver and peritoneum; lymph node metastases are not common.
Related topic: Extra-gastrointestinal stromal tumor
Clinical manifestations include nonspecific symptoms such as early satiety and bloating. Often, GISTs are discovered on imaging performed for another purpose. GISTs may remain asymptomatic unless they ulcerate, bleed, or grow large enough to cause mechanical obstruction. Sites of metastases include the liver and peritoneum; lymph node metastases are not common.
Related topic: Extra-gastrointestinal stromal tumor
Codes
ICD10CM:
D48.19 – Other specified neoplasm of uncertain behavior of connective and other soft tissue
SNOMEDCT:
420120006 – Gastrointestinal stromal tumor
D48.19 – Other specified neoplasm of uncertain behavior of connective and other soft tissue
SNOMEDCT:
420120006 – Gastrointestinal stromal tumor
Look For
Subscription Required
Diagnostic Pearls
Subscription Required
Differential Diagnosis & Pitfalls
To perform a comparison, select diagnoses from the classic differential
Subscription Required
Best Tests
Subscription Required
Management Pearls
Subscription Required
Therapy
Subscription Required
References
Subscription Required
Last Reviewed:12/20/2017
Last Updated:01/16/2022
Last Updated:01/16/2022
Gastrointestinal stromal tumor
