HHV-8 infection in immunocompetent children as well as organ transplant recipients may be associated with a primary infection syndrome, which is characterized by fever, rash, lymphadenopathy, bone marrow failure, and sometimes rapid progression to Kaposi sarcoma. Most cases of chronic infection, however, are asymptomatic.
Kaposi Sarcoma
Kaposi sarcoma (KS) is the first malignancy where HHV-8 was implicated as the causal agent of disease. With the onset of the HIV epidemic, its incidence has dramatically increased and received more attention.
There are 4 types of KS:
- Classic KS – First described by Hungarian dermatologist Moritz Kaposi in 1872. Mainly affects the lower extremities of elderly Mediterranean and Ashkenazi Jewish men. Cutaneous lesions of classic KS are not aggressive and are not associated with HIV infection.
- Endemic KS – Endemic in parts of sub-Saharan Africa, it affects both children and adults. Not known to be related to HIV infection. Presents as cutaneous lesions, such as with classic KS, but they tend to be aggressive and disseminate to lymph nodes and bone.
- Organ transplant-associated KS – Associated with solid organ transplantation and immunosuppression. Can be due to either donor-derived infection or reactivation of latent HHV-8 in the recipient. Clinical manifestations are similar to AIDS-associated KS. Lesions usually resolve on judicious decreasing of immunosuppression.
- Epidemic, or AIDS-associated KS – Low-grade tumor that originates from vascular endothelial cells. MSM with HIV are at the highest risk (by 20-fold) for developing KS compared with other patients with HIV. Regarded as an AIDS-defining illness and the most common tumor in patients with advanced AIDS. The risk of KS is >20 000 times higher in persons with AIDS than in the general population, and the risk is >300 times higher in patients with AIDS than in other immunocompromised persons. Those with CD4 counts <200 cells/mm3 are known to have the highest risk of developing KS. The incidence of KS has been significantly decreased with the introduction of active antiretroviral therapy (ART), although initiation of ART or steroids has been associated with exacerbation of pre-existing KS.
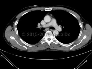
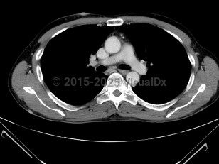
Visceral KS can affect any organ, but most notably affects the oral cavity, gastrointestinal tract (GI), and respiratory system. It is typically a late manifestation of the disease.
- Oral mucosa – The palate and the gingiva are most commonly affected. Often, a dentist is the first to identify the lesions. Lesions are prone to injury during chewing, which results in pain, bleeding, or ulceration.
- GI – Can be asymptomatic or may cause abdominal pain, nausea, vomiting, or rarely bloody diarrhea.
- Pulmonary – Can present with chest pain, shortness of breath, hemoptysis, or an incidental finding on chest X-ray.
Primary effusion lymphoma (PEL) is a subtype of non-Hodgkin B-cell lymphoma typically associated with HHV-8 infection in immunocompromised individuals. It was described in 1984 in patients infected with HIV. PEL is an uncommon tumor among patients with HIV, accounting for 3% of HIV-associated lymphomas. PEL has rarely been reported in patients negative for HIV, solid organ transplant recipients, and patients with chronic hepatitis C infection. It has a strong male predominance and primarily affects patients with HIV and low CD4 counts.
PEL involves serosal surfaces of the body cavities, which include the pleura (60%-90%), pericardium (30%), peritoneum (30%-60%), and joint spaces. Thus it is also known as body cavity lymphoma. Clinical manifestations depend on the extent of serous effusions within those closed serosal surfaces, but there is no lymphomatous mass formation within those cavities. Patients usually present with dyspnea, chest pressure (secondary to pleural or pericardial effusion), abdominal distension and discomfort (due to ascites), or joint swelling.
Multicentric Castleman Disease
Castleman disease was first described by American pathologist Benjamin Castleman in 1956 as a localized disease characterized by a solitary mediastinal lymph node enlargement, which is now called unicentric Castleman disease (UCD). It usually affects young adults. Typically asymptomatic, it is commonly discovered as an incidental finding on imaging studies. After complete resection of the involved lymph node, most patients have a favorable prognosis.
In contrast, multicentric Castleman disease (MCD) is characterized by generalized peripheral lymphadenopathy, hepatomegaly, fevers, and night sweats. Unlike UCD, it is strongly associated with HIV and HHV-8 infections. Unlike KS, the incidence of MCD increased after the introduction of ART; the reason for this discrepancy is unknown.
MCD has a male preponderance, and most patients are between 50 and 65 years old, although patients with HIV infection are typically younger. Patients with HIV infection who have MCD are almost always infected with HHV-8. In patients with MCD who are negative for HIV infection, HHV-8 is responsible for 50% of cases. Known risk factors for MCD are older primary age, non-white, higher CD4 count (more than >200 cells/mm3), and ART-naïve. MCD in patients with HIV tends to be aggressive, and these patients are commonly acutely ill within 3 months from the time of diagnosis. Interleukin 6 (IL-6) is expressed at high levels in the germinal centers of the affected lymph nodes and plays a role in lytic replication of HHV-8 virus in patients with MCD. For this reason, anti-IL-6 therapy is regarded as a therapeutic option in a particular subset of patients.
Clinical manifestations of MCD are fever, night sweats, weight loss, peripheral lymphadenopathy, and hepatosplenomegaly. Other less common presentations include skin rash, perioral pemphigus, edema, and ascites. MCD can be associated with POEMS syndrome (polyneuropathy, organomegaly, endocrinopathy, monoclonal gammopathy, skin changes), autoimmune hemolytic anemia, immune thrombocytopenia, and acquired factor VIII deficiency. Interestingly, KS can coexist with MCD in the same patient.
