Pathologic fracture
Alerts and Notices
Important News & Links
Synopsis
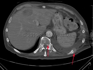
A fracture that occurs from an underlying disease process that has weakened the bone, eg, cancer metastasis to bone, bone cysts, Paget disease, hyperparathyroidism, and osteoporosis. Pathologic fractures typically present with severe, localized pain after a very mild traumatic event, although they can occur with no trauma. Vertebrae and proximal long bones are the most common sites for pathologic fractures.
Pathologic fractures are sometimes the first presenting symptom of malignancy, though they most often occur in patients with a known primary cancer. Most pathologic fractures will require surgical intervention. Pathologic fractures due to malignancy are typically also treated with chemotherapy or radiation.
Pathologic fractures are sometimes the first presenting symptom of malignancy, though they most often occur in patients with a known primary cancer. Most pathologic fractures will require surgical intervention. Pathologic fractures due to malignancy are typically also treated with chemotherapy or radiation.
Codes
ICD10CM:
M84.40XA – Pathological fracture, unspecified site, initial encounter for fracture
SNOMEDCT:
268029009 – Pathological fracture
M84.40XA – Pathological fracture, unspecified site, initial encounter for fracture
SNOMEDCT:
268029009 – Pathological fracture
Differential Diagnosis & Pitfalls
To perform a comparison, select diagnoses from the classic differential
Subscription Required
Best Tests
Subscription Required
Drug Reaction Data
Subscription Required
References
Subscription Required
Last Updated:10/21/2015
Pathologic fracture
